首页 / 产品 / 抗体 / 一抗

Mouse Monoclonal Antibody to SLC44A4

  • 中文名: SLC44A4抗体
货号: IPDX94116
Price: ¥1280
数量:
大包装询价

验证与应用

应用及物种
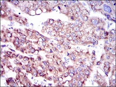
WB 1/500-1/2000 Human,Mouse
IHC 1/50-1/500 Human,Mouse

产品详情

Specification

AliasesC6orf29; choline transporter-like protein 4; CTL4; hTPPT1; NG22; SLC44A4
SwissprotQ53GD3
clone8E23
WB Predicted band size75KD
Host/IsotypeMouse IgG1
Antibody TypePrimary antibody
StorageStore at 4°C short term. Aliquot and store at -20°C long term. Avoid freeze/thaw cycles.
Species ReactivityHuman,Mouse
ImmunogenPurified recombinant fragment of human SLC44A4
FormulationAscitic fluid containing 0.03% sodium azide.


Product Image


客户数据及评论

折叠内容

大包装询价

×