首页 / 产品 / 抗体 / 一抗

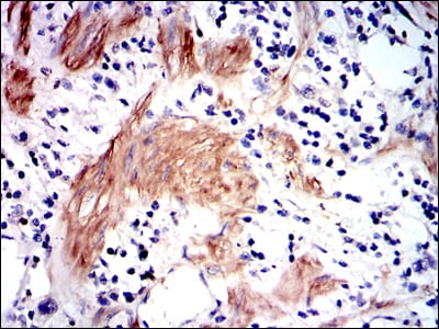
Mouse Monoclonal Antibody to MUC1

  • 中文名: MUC1抗体
货号: IPDX94115
Price: ¥1280
数量:
大包装询价

验证与应用

应用及物种
WB 1/500-1/2000 Human,Mouse
IHC 1/50-1/500 Human,Mouse

产品详情

Specification

AliasesCD227;MUC1; EMA; MCD; PEM; PUM; KL-6; MAM6; MCKD; PEMT
SwissprotP15941
clone9E17
WB Predicted band size17-28kd
Host/IsotypeMouse IgG1
Antibody TypePrimary antibody
StorageStore at 4°C short term. Aliquot and store at -20°C long term. Avoid freeze/thaw cycles.
Species ReactivityHuman,Mouse
ImmunogenSynthetic peptide of human MUC1
FormulationAscitic fluid containing 0.03% sodium azide.



Product Image


客户数据及评论

折叠内容

大包装询价

×