首页 / 产品 / 抗体 / 一抗

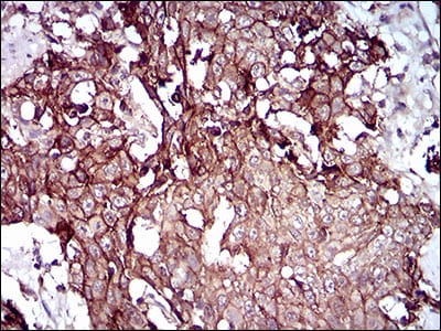
Mouse Monoclonal Antibody to DSG3

  • 中文名: DSG3抗体
货号: IPDX90627
Price: ¥650
数量:
大包装询价

验证与应用

应用及物种
WB 1/500 - 1/2000 Human
IHC 1/200 - 1/1000 Human
FCM 1/200 - 1/400 Human
ELISA 1/10000 Human

产品详情

Specification

AliasesPVA; CDHF6
Entrez GeneID1830
SwissprotP32926
clone6G2C11
WB Predicted band size107.5kDa
Host/IsotypeMouse IgG1
Antibody TypePrimary antibody
StorageStore at 4°C short term. Aliquot and store at -20°C long term. Avoid freeze/thaw cycles.
Species ReactivityHuman
ImmunogenPurified recombinant fragment of human DSG3 (AA: 55-159) expressed in E. Coli.
FormulationPurified antibody in PBS with 0.05% sodium azide.




Product Image


客户数据及评论

折叠内容

大包装询价

×