首页 / 产品 / 抗体 / 一抗

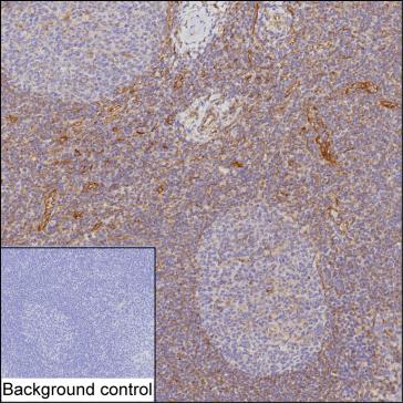
Mouse Monoclonal Antibody to CXCL12

  • 中文名: CXCL12抗体
货号: IPDX95357
Price: ¥1280
数量:
大包装询价

验证与应用

应用及物种
WB 1/500-1/1000 Human
IHC 1/100-1/200 Human

产品详情

Specification

SwissprotP48061
Host/IsotypeMouse IgG2a
Antibody TypePrimary antibody
StorageStore at 4°C short term. Aliquot and store at -20°C long term. Avoid freeze/thaw cycles.
Species ReactivityHuman
ImmunogenPurified recombinant fragment of human CXCL12
FormulationPurified antibody in PBS with 0.05% sodium azide




Product Image


客户数据及评论

折叠内容

大包装询价

×