首页 / 产品 / 抗体 / 一抗

Mouse Monoclonal Antibody to CXCL14

  • 中文名: CXCL14抗体
货号: IPDX94100
Price: ¥1280
数量:
大包装询价

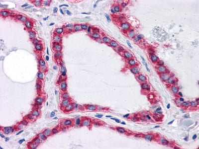
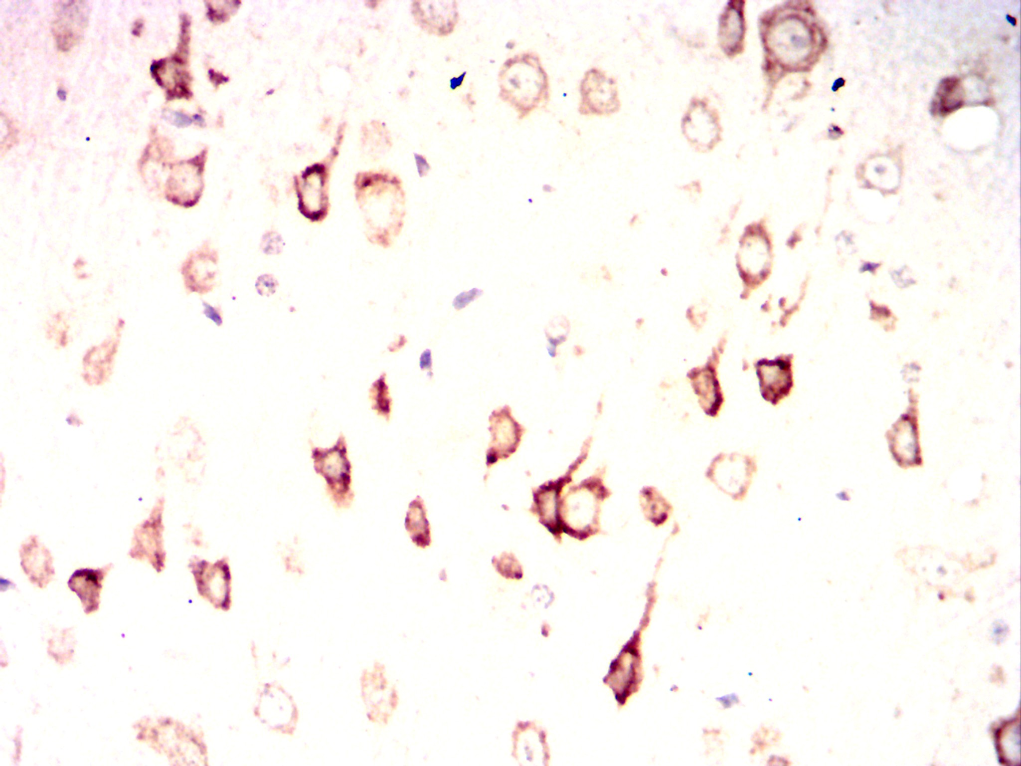
验证与应用

应用及物种
IHC 1/50-1/500 Human,Rat

产品详情

Specification

AliasesKEC; KS1; BMAC; BRAK; NJAC
SwissprotO95715
clone3E9
Host/IsotypeMouse IgG1
Antibody TypePrimary antibody
StorageStore at 4°C short term. Aliquot and store at -20°C long term. Avoid freeze/thaw cycles.
Species ReactivityHuman,Rat
ImmunogenFusion protein of human CXCL14
FormulationPurified antibody in PBS with 0.05% sodium azide.


Product Image


客户数据及评论

折叠内容

大包装询价

×