首页 / 产品 / 抗体 / 一抗

Mouse Monoclonal Antibody to COL4A3

  • 中文名: COL4A3抗体
货号: IPDX94092
Price: ¥1280
数量:
大包装询价

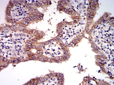
验证与应用

应用及物种
WB 1/500-1/2000 Human,Mouse
IHC 1/50-1/500 Human,Mouse
IF 1/50-1/500 Human,Mouse

产品详情

Specification

AliasesCollagen alpha-3(IV) chain, Goodpasture antigen
SwissprotQ01955
clone3C9
WB Predicted band size162Kd
Host/IsotypeMouse IgG1
Antibody TypePrimary antibody
StorageStore at 4°C short term. Aliquot and store at -20°C long term. Avoid freeze/thaw cycles.
Species ReactivityHuman,Mouse
ImmunogenSynthetic peptide of human COL4A3
FormulationPurified antibody in PBS with 0.05% sodium azide




客户数据及评论

折叠内容

大包装询价

×