首页 / 产品 / 抗体 / 一抗

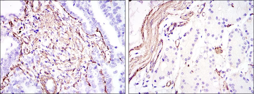
Mouse Monoclonal Antibody to BEX1

  • 中文名: BEX1抗体
货号: IPDX94090
Price: ¥1280
数量:
大包装询价

验证与应用

应用及物种
IF 1/50-1/500

产品详情

Specification

AliasesBEX2; HBEX2; HGR74-h
SwissprotQ9HBH7
clone15C12
Host/IsotypeMouse IgG1
Antibody TypePrimary antibody
StorageStore at 4°C short term. Aliquot and store at -20°C long term. Avoid freeze/thaw cycles.
Species ReactivityHuman,Mouse
Immunogenfusion protein of human BEX1
FormulationPurified antibody in PBS with 0.05% sodium azide and 50% glycerol.



客户数据及评论

折叠内容

大包装询价

×