首页 / 产品 / 抗体 / 一抗

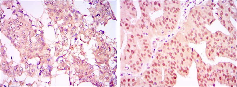
Mouse Monoclonal Antibody to NUSAP1

  • 中文名: NUSAP1抗体
货号: IPDX94089
Price: ¥1280
数量:
大包装询价

验证与应用

应用及物种
IHC 1/50-1/500

产品详情

Specification

AliasesLNP; ANKT; SAPL; BM037; NUSAP; Q0310
SwissprotQ9BXS6
clone3C8
Host/IsotypeMouse IgG1
Antibody TypePrimary antibody
StorageStore at 4°C short term. Aliquot and store at -20°C long term. Avoid freeze/thaw cycles.
Species ReactivityHuman,Mouse
ImmunogenFusion protein of human NUSAP1
FormulationPurified antibody in PBS with 0.05% sodium azide.





客户数据及评论

折叠内容

大包装询价

×