| 纯度 | >95% |
| 种属 | Human |
| 靶点 | IL-1 alpha/IL- 1F1 |
| Uniprot No | P01583 |
| 内毒素 | <0.1EU/ug |
| 表达宿主 | 293F |
| 表达区间 | Ser113-Ala271 |
| 活性数据 | Measured in a cell proliferation assay using D10.G4.1 mouse helper T cells. The ED50 forthis effect is 1‑10 ng/mL. |
| 分子量 | 21 kDa |
| 蛋白标签 | C-His |
| 缓冲液 | 冻干粉 |
| 稳定性 & 储存条件 | Lyophilized protein should be stored at ≤ -20°C, stable for one year after receipt. Reconstituted protein solution can be stored at 2-8°C for 2-7 days. Aliquots of reconstituted samples are stable at ≤ -20°C for 3 months. |
| 复溶 | Always centrifuge tubes before opening.Do not mix by vortex or pipetting. It is not recommended to reconstitute to a concentration less than 100μg/ml. Dissolve the lyophilized protein in distilled water. Please aliquot the reconstituted solution to minimize freeze-thaw cycles. |

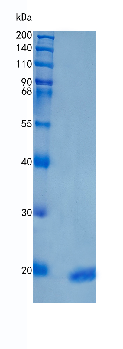
Recombinant Human IL-1 alpha/IL-
1F1 Protein (Active) on SDS-PAGE under reducing (R) condition. The gel was stained with Coomassie Blue. The purity of the protein is greater than >95%
×