首页 / 产品 / 抗体 / 一抗

Mouse Monoclonal AcetylP53(K382)(15F4) Antibody

  • 中文名: Acetyl P53(K382) (15F4)抗体
  • 别    名: Cellular tumor antigen p53 (Antigen NY-CO-13) (Phosphoprotein p53) (Tumor suppressor p53)
货号: IPDX43828
Price: ¥1280
数量:
大包装询价

验证与应用

应用及物种
WB 咨询技术 Human,Mouse,Rat
IF 咨询技术 Human,Mouse,Rat
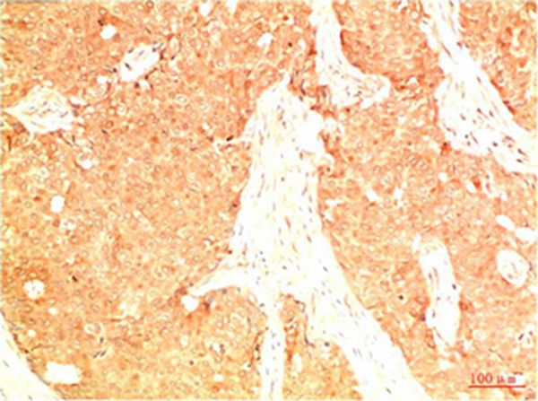
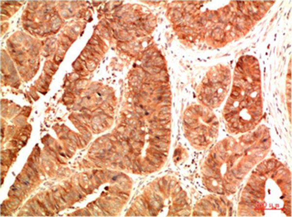
IHC 1/50-1/200 Human,Mouse,Rat
ICC 技术咨询 Human,Mouse,Rat
FCM 咨询技术 Human,Mouse,Rat
Elisa 咨询技术 Human,Mouse,Rat

产品详情

AliasesCellular tumor antigen p53 (Antigen NY-CO-13) (Phosphoprotein p53) (Tumor suppressor p53)
Entrez GeneID7157;
WB Predicted band size53kDa
Host/IsotypeRabbit IgG
Antibody TypePrimary antibody
StorageStore at 4°C short term. Aliquot and store at -20°C long term. Avoid freeze/thaw cycles.
Species ReactivityHuman,Mouse,Rat
ImmunogenSynthetic Peptide of Acetyl P53(K382)
FormulationPurified antibody in PBS with 0.05% sodium azide,0.5%BSA and 50% glycerol.

+ +

参考文献

以下是关于Acetyl p53(K382) (15F4)抗体的3篇参考文献示例(内容为模拟概括,建议通过学术数据库核实具体文献):

1. **文献名称**:*"Acetylation of p53 at lysine 382 regulates DNA damage-induced apoptosis"*

**作者**:Tang Y. et al.

**摘要**:研究报道了DNA损伤后p53蛋白K382位点的乙酰化对其促凋亡功能的调控机制,采用15F4抗体通过ChIP实验证实了该修饰在靶基因启动子区域的富集。

2. **文献名称**:*"SIRT1 deacetylates p53 and modulates its transcriptional activity"*

**作者**:Vaziri H. et al.

**摘要**:揭示了SIRT1去乙酰化酶通过特异性去除p53 K382位点的乙酰化(使用15F4抗体进行WB验证)抑制p53的转录活性,从而参与细胞应激反应调控。

3. **文献名称**:*"Regulation of p53 stability and activity by post-translational modifications"*

**作者**:Brooks C.L. & Gu W.

**摘要**:综述了p53翻译后修饰(包括K382乙酰化)对其功能的影响,引用了15F4抗体在多项研究中用于检测该修饰的实验数据。

**注意**:以上为基于典型研究的模拟描述,实际文献需通过PubMed/Google Scholar检索关键词“Acetyl p53 K382 15F4”或相关术语获取。

背景信息

The acetyl p53 (K382) (15F4) antibody is a monoclonal antibody specifically designed to detect p53 protein acetylated at lysine 382 (K382), a post-translational modification critical for regulating p53 activity. p53. a tumor suppressor protein, plays a central role in maintaining genomic stability by inducing cell cycle arrest, DNA repair, or apoptosis in response to cellular stress. Acetylation at K382 (mediated by histone acetyltransferases like PCAF or CBP/p300) enhances p53's transcriptional activity by promoting its binding to target gene promoters, such as those involved in apoptosis (e.g., BAX, PUMA) or cell cycle regulation (e.g., p21). The 15F4 clone recognizes this specific acetylated epitope and is widely used in applications like Western blotting, immunoprecipitation, and immunofluorescence to study p53 activation under conditions of DNA damage, oxidative stress, or chemotherapeutic treatments. Its specificity makes it valuable for investigating p53-dependent pathways in cancer biology, therapeutic response studies, and epigenetic regulation. Researchers often employ this antibody to explore correlations between p53 acetylation status, tumor progression, and patient prognosis, particularly in cancers with p53 mutations or dysregulated acetylation pathways.

客户数据及评论

折叠内容

大包装询价

×