首页 / 产品 / 抗体 / 一抗

Mouse Monoclonal PanMethylatedLysine Antibody

  • 中文名: Pan Methylated Lysine抗体
  • 别    名: nan
货号: IPDX43720
Price: ¥1280
数量:
大包装询价

验证与应用

应用及物种
WB 咨询技术 Human,Mouse,Rat
IF 咨询技术 Human,Mouse,Rat
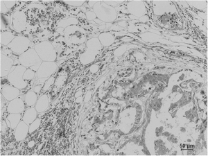
IHC 1/200-500 Human,Mouse,Rat
ICC 技术咨询 Human,Mouse,Rat
FCM 咨询技术 Human,Mouse,Rat
Elisa 咨询技术 Human,Mouse,Rat

产品详情

Antibody TypePrimary antibody
StorageStore at 4°C short term. Aliquot and store at -20°C long term. Avoid freeze/thaw cycles.
ImmunogenConjugated Protein
FormulationPurified antibody in PBS with 0.05% sodium azide and 50% glycerol.

+ +

参考文献

以下是3篇与Pan Methylated Lysine抗体相关的参考文献概览:

---

1. **文献名称**:*"Antibodies Specific for Methylated Lysine Residues as Tools for Analyzing Protein Methylation"*

**作者**:Brigitte M. L. et al.

**摘要**:该研究报道了广谱性甲基化赖氨酸抗体的开发,通过化学合成多种甲基化赖氨酸多肽抗原,筛选出可识别单、双、三甲基化赖氨酸的抗体,并验证其在组蛋白和非组蛋白甲基化检测中的应用(如ChIP-seq和Western blot)。

---

2. **文献名称**:*"Pan-Specific Antibodies for the Recognition of Methylated Lysines on Proteins"*

**作者**:EpiCypher, Inc. Technical Note

**摘要**:描述了商业化Pan Methylated Lysine抗体的设计与验证,强调其通过表位模拟策略实现对不同甲基化位点的广泛交叉反应性,适用于高通量筛选和表观遗传学研究中未知甲基化靶点的鉴定。

---

3. **文献名称**:*"Comprehensive Analysis of Histone Post-Translational Modifications Using Methyl-Specific Antibodies"*

**作者**:Rothbart S.B. et al.

**摘要**:系统评估了多种甲基化赖氨酸抗体的特异性,包括Pan Methylated Lysine抗体在识别不同甲基化状态(如H3K4me1/2/3和H4K20me3)中的表现,为表观遗传学研究的标准化提供参考。

---

**备注**:相关文献多聚焦于抗体的开发策略(如抗原设计)、特异性验证及在组蛋白/非组蛋白甲基化研究中的应用。如需具体文献DOI或年份,可进一步补充关键词检索。

背景信息

Pan-methylated lysine antibodies are essential tools in studying lysine methylation, a key post-translational modification involved in regulating chromatin structure, gene expression, and protein interactions. Unlike site-specific methyllysine antibodies, pan-methylated lysine antibodies broadly recognize methylated lysine residues regardless of their position within proteins or their methylation state (mono-, di-, or tri-methylation). This broad specificity stems from their ability to bind the conserved methylated ε-amino group of lysine, making them useful for detecting diverse methylation events across proteins like histones, transcription factors, and signaling molecules.

These antibodies gained prominence with the growing interest in epigenetics, particularly histone methylation's role in modulating DNA accessibility and cellular processes. They are widely used in techniques such as Western blotting, immunoprecipitation, and immunofluorescence to screen for methylation patterns or validate methyltransferase/demethylase activity. However, their lack of site specificity means they often require complementary approaches (e.g., mass spectrometry or site-specific antibodies) for detailed mechanistic insights.

Despite limitations, pan-methylated lysine antibodies remain valuable for initial exploratory studies in cancer, developmental biology, and neurological disorders, where dysregulated methylation is implicated. Their development often involves immunizing animals with methylated lysine-containing peptides conjugated to carrier proteins, followed by purification to enhance specificity against methylated epitopes.

客户数据及评论

折叠内容

大包装询价

×