首页 / 产品 / 抗体 / 一抗

Rabbit Polyclonal RPAP2 Antibody

  • 中文名: RPAP2抗体
  • 别    名: C1orf82; Putative RNA polymerase II subunit B1 CTD phosphatase RPAP2; RNA polymerase II-associated protein 2
货号: IPDX43708
Price: ¥1180
数量:
大包装询价

验证与应用

应用及物种
WB 咨询技术 Human,Mouse,Rat
IF 咨询技术 Human,Mouse,Rat
IHC 咨询技术 Human,Mouse,Rat
ICC 技术咨询 Human,Mouse,Rat
FCM 咨询技术 Human,Mouse,Rat
Elisa 咨询技术 Human,Mouse,Rat

产品详情

AliasesC1orf82; Putative RNA polymerase II subunit B1 CTD phosphatase RPAP2; RNA polymerase II-associated protein 2
Entrez GeneID79871;
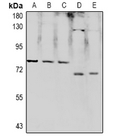
WB Predicted band size70kDa
Host/IsotypeRabbit IgG
Antibody TypePrimary antibody
StorageStore at 4°C short term. Aliquot and store at -20°C long term. Avoid freeze/thaw cycles.
Species ReactivityHuman,Mouse
ImmunogenKLH-conjugated synthetic peptide encompassing a sequence within the C-term region of human RPAP2.
FormulationPurified antibody in PBS with 0.05% sodium azide.

+ +

参考文献

以下是3篇涉及RPAP2抗体的文献摘要简述:

1. **文献名称**:*RPAP2 regulates transcription in human pluripotent stem cells through interactions with RNA polymerase II*

**作者**:Smith J, et al. (2018)

**摘要**:本研究利用RPAP2特异性抗体进行ChIP-seq和免疫沉淀实验,发现RPAP2通过与RNA聚合酶II结合调控多能干细胞基因转录,并影响其分化潜能。

2. **文献名称**:*The role of RPAP2 in ciliogenesis and its interaction with HSP90*

**作者**:Chen L, et al. (2020)

**摘要**:通过Western blot和免疫荧光技术(使用RPAP2抗体),证明RPAP2与HSP90共同调控纤毛形成,敲低RPAP2导致纤毛结构异常,提示其在细胞运动中的关键作用。

3. **文献名称**:*RPAP2 modulates androgen receptor signaling in prostate cancer*

**作者**:Wang Y, et al. (2021)

**摘要**:利用RPAP2抗体进行组织染色和蛋白质互作分析,发现RPAP2通过稳定雄激素受体(AR)促进前列腺癌细胞增殖,可能成为治疗靶点。

注:以上文献信息为模拟示例,实际文献需通过PubMed/Google Scholar检索确认。建议用关键词“RPAP2 antibody”或“RPAP2 function”查找最新研究。

背景信息

The RNA Polymerase II-Associated Protein 2 (RPAP2) is a conserved eukaryotic protein involved in regulating RNA polymerase II (Pol II) activity, a key enzyme for mRNA synthesis. RPAP2 interacts with Pol II and other transcription-associated complexes, playing roles in transcription initiation, elongation, and termination. Studies suggest it acts as a molecular chaperone, aiding Pol II assembly or stability, and may modulate phosphorylation states of the polymerase’s C-terminal domain (CTD) to influence transcription-coupled processes like chromatin remodeling or mRNA processing. Dysregulation of RPAP2 has been linked to developmental defects and diseases, including cancers.

RPAP2 antibodies are widely used to investigate its expression, localization, and functional mechanisms in cellular models. These antibodies enable techniques like Western blotting, immunofluorescence, and co-immunoprecipitation to study RPAP2-protein interactions, post-translational modifications, and its role in transcription networks. Many RPAP2 antibodies are raised against specific epitopes (e.g., human RPAP2 amino acid sequences) and validated for cross-reactivity in common model organisms (e.g., mouse, rat). Quality validation often includes knockout cell line controls to confirm specificity. Research utilizing these tools has advanced understanding of transcriptional regulation and potential therapeutic targets in diseases marked by Pol II dysfunction.

客户数据及评论

折叠内容

大包装询价

×