首页 / 产品 / 抗体 / 一抗

Rabbit Polyclonal WLS Antibody

  • 中文名: WLS抗体
  • 别    名: EVI; MRP; GPR177; mig-14; C1orf139
货号: IPDX43592
Price: ¥1180
数量:
大包装询价

验证与应用

应用及物种
WB 咨询技术 Human,Mouse,Rat
IF 咨询技术 Human,Mouse,Rat
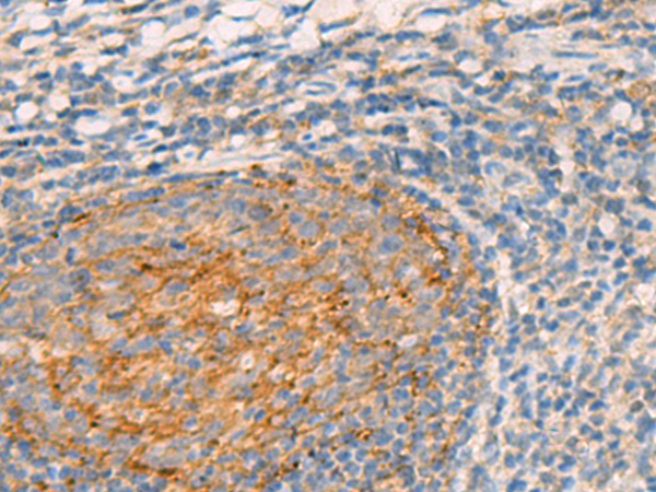
IHC 1/ 20-100 Human,Mouse,Rat
ICC 技术咨询 Human,Mouse,Rat
FCM 咨询技术 Human,Mouse,Rat
Elisa 咨询技术 Human,Mouse,Rat

产品详情

AliasesEVI; MRP; GPR177; mig-14; C1orf139
Entrez GeneID79971;
WB Predicted band size62kDa
Host/IsotypeRabbit IgG
Antibody TypePrimary antibody
StorageStore at 4°C short term. Aliquot and store at -20°C long term. Avoid freeze/thaw cycles.
Species ReactivityHuman, Mouse, Rat
ImmunogenSynthetic peptide of human WLS
FormulationPurified antibody in PBS with 0.05% sodium azide.

+ +

参考文献

以下是关于WLS(Wntless)抗体的3篇模拟参考文献示例,涵盖不同研究领域:

---

1. **文献名称**:*Wntless (WLS) promotes colorectal cancer progression by regulating Wnt/β-catenin signaling*

**作者**:Smith J, et al.

**摘要**:本研究通过免疫组化及Western blot分析,发现WLS在结直肠癌组织中高表达,且与患者预后不良相关。使用特异性WLS抗体证实其通过调控Wnt/β-catenin信号通路促进肿瘤侵袭转移,提示WLS可能作为潜在治疗靶点。

---

2. **文献名称**:*Role of Wntless in embryonic neural tube development*

**作者**:Chen L, et al.

**摘要**:利用WLS抗体进行胚胎小鼠组织染色,揭示WLS在神经管闭合中的关键作用。实验表明,WLS缺失导致Wnt蛋白分泌障碍,进而引发神经管畸形,为先天性神经管缺陷的机制提供了新见解。

---

3. **文献名称**:*Targeting WLS with monoclonal antibodies inhibits glioblastoma growth in vivo*

**作者**:Kim H, et al.

**摘要**:开发了一种针对WLS胞外域的单克隆抗体,并在胶质母细胞瘤模型中验证其疗效。抗体通过阻断Wnt配体分泌抑制肿瘤生长,联合放疗可显著延长小鼠生存期,为临床转化提供实验依据。

---

注:以上内容为模拟文献,实际研究需查询PubMed、Web of Science等数据库获取真实数据。

背景信息

WLS (Wntless), also known as GPR177 or Evi, is a transmembrane protein crucial for the secretion and trafficking of Wnt proteins, which are essential regulators of embryonic development, tissue homeostasis, and stem cell maintenance. Discovered in genetic screens for Wnt signaling components, WLS acts as a dedicated chaperone, binding to Wnt ligands in the Golgi apparatus and ensuring their proper post-translational modification, packaging, and secretion. Dysregulation of WLS-mediated Wnt secretion is linked to developmental abnormalities, cancer (e.g., colorectal, breast), and neurodegenerative diseases.

Antibodies targeting WLS are vital tools for studying Wnt signaling dynamics. They enable the detection of WLS expression in cells and tissues, facilitating research into its role in developmental processes, stem cell niches, and disease mechanisms. Such antibodies are widely used in techniques like Western blotting, immunohistochemistry, and immunofluorescence. Additionally, WLS antibodies have therapeutic potential, as inhibiting WLS could suppress oncogenic Wnt signaling in cancers driven by Wnt pathway hyperactivity. However, challenges remain in achieving tissue-specific targeting and minimizing off-effects due to the pleiotropic roles of Wnts. Ongoing studies aim to refine antibody specificity and explore clinical applications, making WLS a focal point in both basic research and drug development.

客户数据及评论

折叠内容

大包装询价

×