| WB | 咨询技术 | Human,Mouse,Rat |
| IF | 咨询技术 | Human,Mouse,Rat |
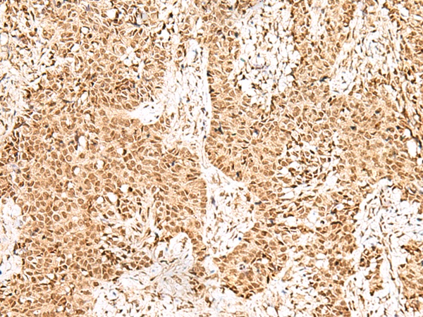
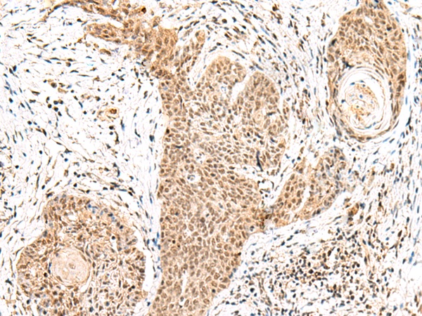
| IHC | 1/ 30-150 | Human,Mouse,Rat |
| ICC | 技术咨询 | Human,Mouse,Rat |
| FCM | 咨询技术 | Human,Mouse,Rat |
| Elisa | 咨询技术 | Human,Mouse,Rat |
| Entrez GeneID | 2926; |
| WB Predicted band size | 53kDa |
| Host/Isotype | Rabbit IgG |
| Antibody Type | Primary antibody |
| Storage | Store at 4°C short term. Aliquot and store at -20°C long term. Avoid freeze/thaw cycles. |
| Species Reactivity | Human, Mouse |
| Immunogen | Synthetic peptide of human GRSF1 |
| Formulation | Purified antibody in PBS with 0.05% sodium azide. |
+ +
以下是关于GRSF1抗体的3篇参考文献,涵盖其功能及应用的简要总结:
---
1. **文献名称**:**"GRSF1 regulates RNA processing in mitochondrial RNA granules"**
**作者**:Antonicka, H., et al.
**摘要**:该研究揭示了GRSF1在线粒体RNA颗粒中的关键作用,通过免疫沉淀和Western blot实验证实GRSF1抗体可用于检测其与线粒体mRNA的结合,并调控RNA的稳定性及翻译效率。
2. **文献名称**:**"The RNA-binding protein GRSF1 modulates influenza virus replication by targeting viral RNA and host factors"**
**作者**:Wang, S., et al.
**摘要**:研究利用GRSF1抗体进行免疫荧光和RNA结合实验,发现GRSF1通过直接结合流感病毒RNA及调控宿主细胞抗病毒信号通路,影响病毒复制过程。
3. **文献名称**:**"GRSF1 promotes tumor progression by regulating aerobic glycolysis in colorectal cancer"**
**作者**:Li, Y., et al.
**摘要**:通过免疫组化(IHC)和Western blot分析,研究证明GRSF1在结直肠癌中高表达,其抗体用于揭示GRSF1通过调控糖酵解相关基因促进肿瘤生长的分子机制。
---
如需更具体的文献年份或期刊信息,可进一步补充关键词检索。
The GRSF1 (G-rich RNA sequence binding factor 1) antibody is a tool used to study the function and regulation of GRSF1. a RNA-binding protein involved in post-transcriptional gene regulation. GRSF1 contains three RNA recognition motifs (RRMs) that enable binding to G-rich sequences in target mRNAs, influencing their stability, localization, or translation. It is implicated in mitochondrial RNA metabolism, including the processing and expression of mitochondrial transcripts, and plays roles in cellular stress responses, viral replication, and developmental processes.
Studies have linked GRSF1 to mitochondrial dynamics, where it interacts with RNA granules and supports mitochondrial homeostasis. Dysregulation of GRSF1 is associated with diseases such as cancer and neurodegenerative disorders, highlighting its biological significance. The antibody is widely utilized in techniques like Western blotting, immunofluorescence, and immunoprecipitation to detect GRSF1 expression, subcellular localization (e.g., cytoplasm or mitochondria), and protein-protein/RNA interactions.
Commercial GRSF1 antibodies are typically raised in rabbits or mice using specific epitopes, and validation includes testing for specificity via knockout controls. Research applications span virology (e.g., influenza virus mRNA export), cancer biology (proliferation/apoptosis pathways), and mitochondrial dysfunction studies. Its role in stress granules and RNA metabolism continues to be an active area of investigation.
×