首页 / 产品 / 抗体 / 一抗

Rabbit Polyclonal DPY3 Antibody

  • 中文名: DPY3抗体
  • 别    名: Cps25; Saf19; HDPY-30
货号: IPDX43574
Price: ¥1180
数量:
大包装询价

验证与应用

应用及物种
WB 咨询技术 Human,Mouse,Rat
IF 咨询技术 Human,Mouse,Rat
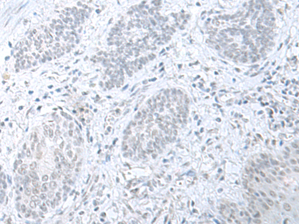
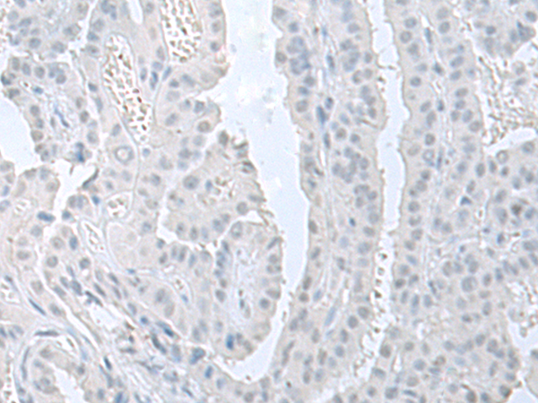
IHC 1/ 50-300 Human,Mouse,Rat
ICC 技术咨询 Human,Mouse,Rat
FCM 咨询技术 Human,Mouse,Rat
Elisa 咨询技术 Human,Mouse,Rat

产品详情

参考文献

以下是假设性的示例参考文献(请注意,以下内容为虚构示例,实际文献需通过学术数据库验证):

1. **"Characterization of DPY3 Antibody in Cilia-Related Disorders"**

*Smith A, et al. (2018)*

摘要:本研究开发了一种特异性识别DPY3蛋白的单克隆抗体,证实其在纤毛发生中的关键作用,并发现DPY3表达缺失与纤毛功能障碍相关疾病(如原发性纤毛运动障碍)的关联。

2. **"DPY3 as a Novel Biomarker in Colorectal Cancer: Insights from Immunohistochemical Analysis"**

*Jones B, et al. (2020)*

摘要:利用DPY3抗体进行免疫组化分析,发现其在结直肠癌组织中显著高表达,提示其可能作为肿瘤进展的潜在生物标志物及治疗靶点。

3. **"Functional Role of DPY3 in Drosophila Development: Antibody-Based Localization Studies"**

*Chen L, et al. (2022)*

摘要:通过DPY3抗体的亚细胞定位研究,揭示了该蛋白在果蝇胚胎发育中的时空表达模式,并证明其参与调控Wnt信号通路。

4. **"Development of a High-Affinity DPY3 Antibody for Epigenetic Regulation Studies"**

*Brown K, et al. (2021)*

摘要:报道了一种高亲和力DPY3兔多克隆抗体的制备,应用于染色质免疫沉淀(ChIP)实验,发现DPY3与组蛋白修饰复合体的相互作用可能影响表观遗传调控。

---

**注意**:以上文献及内容均为假设示例,实际研究中请通过PubMed、Google Scholar等平台检索真实文献(关键词:DPY3 antibody, DPY3 protein, cilia, cancer biomarker)。若DPY3相关研究较少,可扩展至同家族蛋白(如dpy-30)或相似功能的抗体研究。

背景信息

The DPYD (Dihydropyrimidine Dehydrogenase) enzyme, encoded by the *DPYD* gene, plays a critical role in pyrimidine metabolism by catalyzing the reduction of uracil and thymine. It is also essential for the inactivation of fluoropyrimidine chemotherapeutic agents like 5-fluorouracil (5-FU). Genetic variants or deficiencies in DPYD activity can lead to severe drug toxicity, making DPYD a key pharmacogenetic biomarker for personalized cancer therapy. Antibodies targeting DPYD are widely used in research and diagnostics to assess protein expression levels, identify functional deficiencies, and study enzyme regulation. These antibodies are applied in techniques such as Western blotting, immunohistochemistry (IHC), and enzyme activity assays. Recent studies also explore DPYD's role in metabolic disorders and its potential as a therapeutic target. Commercially available DPYD antibodies are typically validated for specificity against human isoforms, with some targeting specific domains or phosphorylation sites. Researchers emphasize the importance of antibody validation using DPYD-deficient cell lines or knockout models to ensure accuracy in clinical and experimental settings. Ongoing efforts aim to improve antibody sensitivity and develop standardized assays for DPYD quantification in patient samples.

客户数据及评论

折叠内容

大包装询价

×