首页 / 产品 / 抗体 / 一抗

Rabbit Polyclonal EPG5 Antibody

  • 中文名: EPG5抗体
  • 别    名: Ectopic P granules protein 5 homolog
货号: IPDX43552
Price: ¥1180
数量:
大包装询价

验证与应用

应用及物种
WB 咨询技术 Human,Mouse,Rat
IF 咨询技术 Human,Mouse,Rat
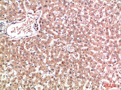
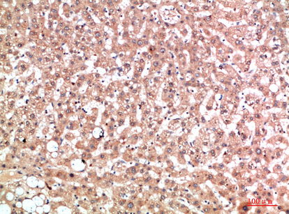
IHC 1/50-300 Human,Mouse,Rat
ICC 技术咨询 Human,Mouse,Rat
FCM 咨询技术 Human,Mouse,Rat
Elisa 咨询技术 Human,Mouse,Rat

产品详情

AliasesEctopic P granules protein 5 homolog
Entrez GeneID57724;
Host/IsotypeRabbit IgG
Antibody TypePrimary antibody
StorageStore at 4°C short term. Aliquot and store at -20°C long term. Avoid freeze/thaw cycles.
Species ReactivityHuman
ImmunogenSynthetic peptide from human protein at AA range: 141-190
FormulationPurified antibody in PBS with 0.05% sodium azide,0.5%BSA and 50% glycerol.

+ +

参考文献

以下是关于EPG5抗体的3篇代表性文献,简要整理如下:

1. **文献名称**:*Mutations in EPG5 cause Vici syndrome, a multisystem disorder with defective autophagy*

**作者**:Cullup T et al.

**摘要**:该研究首次将EPG5基因突变与Vici综合征(一种罕见的多系统疾病)联系起来,揭示了EPG5在自噬过程中的核心作用。研究利用EPG5抗体检测患者细胞中蛋白质表达缺失,证实突变导致自噬溶酶体功能异常。

2. **文献名称**:*EPG5-related Vici syndrome: a paradigm of neurodevelopmental disorders with defective autophagy*

**作者**:Byrne S et al.

**摘要**:本文综述了EPG5在神经发育中的作用,通过免疫组化和Western blot实验(使用EPG5抗体)发现患者脑组织中自噬标志物异常积累,提示EPG5缺陷导致神经退行性变。

3. **文献名称**:*Antibody-based profiling of autophagy-related proteins in human cancers*

**作者**:Yamamoto A et al.

**摘要**:研究开发了针对自噬相关蛋白(包括EPG5)的特异性抗体,用于癌症组织分析。实验显示EPG5在多种肿瘤中表达下调,可能与自噬抑制和肿瘤进展相关。

如需具体论文链接或补充其他文献,可进一步说明。

背景信息

The EPG5 (ectopic P-granules protein 5) antibody is a tool used to study the EPG5 protein, which plays a critical role in autophagy, a cellular recycling process. EPG5. encoded by the EPG5 gene, facilitates the fusion of autophagosomes (vesicles engulfing cellular debris) with lysosomes for degradation. Mutations in EPG5 are linked to Vici syndrome, a rare autosomal recessive disorder characterized by multisystem abnormalities, including agenesis of the corpus callosum, immunodeficiency, and cataracts.

EPG5 antibodies are essential for detecting and quantifying EPG5 expression in research settings. They enable visualization of protein localization via immunofluorescence and assessment of expression levels through Western blotting. Studies using these antibodies have revealed EPG5's involvement in maintaining autophagy flux and clearing protein aggregates, with dysfunction leading to impaired organelle homeostasis and neurodegeneration.

Research on EPG5 also extends to understanding its role in cancer, muscular dystrophy, and mitochondrial disorders. Antibodies against EPG5 help identify disease biomarkers and evaluate therapeutic strategies targeting autophagy pathways. By elucidating molecular mechanisms of EPG5-related pathologies, these tools contribute to advancing diagnostics and treatments for conditions associated with autophagic defects.

客户数据及评论

折叠内容

大包装询价

×