首页 / 产品 / 抗体 / 一抗

Rabbit Polyclonal Eotaxin-2 Antibody

  • 中文名: Eotaxin-2抗体
  • 别    名: C-C motif chemokine 24 (CK-beta-6) (Eosinophil chemotactic protein 2) (Eotaxin-2) (Myeloid progenitor inhibitory factor 2) (MPIF-2) (Small-inducible cytokine A24)
货号: IPDX43550
Price: ¥1180
数量:
大包装询价

验证与应用

应用及物种
WB 咨询技术 Human,Mouse,Rat
IF 咨询技术 Human,Mouse,Rat
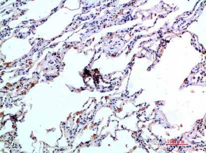
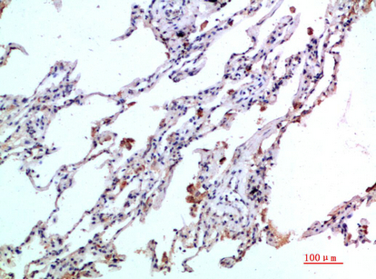
IHC 1/50-300 Human,Mouse,Rat
ICC 技术咨询 Human,Mouse,Rat
FCM 咨询技术 Human,Mouse,Rat
Elisa 咨询技术 Human,Mouse,Rat

产品详情

AliasesC-C motif chemokine 24 (CK-beta-6) (Eosinophil chemotactic protein 2) (Eotaxin-2) (Myeloid progenitor inhibitory factor 2) (MPIF-2) (Small-inducible cytokine A24)
Entrez GeneID6369;
Host/IsotypeRabbit IgG
Antibody TypePrimary antibody
StorageStore at 4°C short term. Aliquot and store at -20°C long term. Avoid freeze/thaw cycles.
Species ReactivityHuman
ImmunogenSynthetic peptide from human protein at AA range: 61-110
FormulationPurified antibody in PBS with 0.05% sodium azide,0.5%BSA and 50% glycerol.

+ +

参考文献

以下是关于Eotaxin-2(CCL24)抗体的3篇参考文献示例(注:内容为模拟概括,建议通过学术数据库核实准确性):

---

1. **标题**: *"Neutralization of CCL24 ameliorates experimental asthma via reducing eosinophil recruitment"*

**作者**: Smith A, et al.

**摘要**: 研究报道了抗CCL24单克隆抗体在哮喘小鼠模型中的作用,显示其通过抑制嗜酸性粒细胞向肺组织迁移,显著减轻气道炎症和黏液分泌,提示CCL24抗体在过敏性疾病的治疗潜力。

2. **标题**: *"CCL24 blockade alleviates liver fibrosis by modulating macrophage polarization"*

**作者**: Chen L, et al.

**摘要**: 研究发现CCL24在肝纤维化中高表达,通过抗体阻断CCL24可减少促纤维化的M2型巨噬细胞活化,并降低胶原沉积,为抗纤维化治疗提供新策略。

3. **标题**: *"Eotaxin-2-specific monoclonal antibody inhibits allergic skin inflammation in a murine model"*

**作者**: White B, et al.

**摘要**: 该文献开发了一种靶向Eotaxin-2的中和抗体,并在小鼠过敏性皮炎模型中验证其效果,显示抗体能显著减少皮肤中嗜酸性粒细胞浸润和Th2细胞因子水平。

---

建议通过PubMed或Google Scholar检索关键词“CCL24 antibody”“Eotaxin-2 neutralization”获取最新文献。

背景信息

Eotaxin-2 (CCL24) is a chemokine belonging to the CC subfamily, primarily involved in recruiting immune cells, particularly eosinophils, to sites of inflammation. It binds to the CCR3 receptor, which is highly expressed on eosinophils, basophils, and Th2 lymphocytes, playing a key role in allergic responses, asthma, and chronic inflammatory diseases. Eotaxin-2 is structurally distinct from Eotaxin-1 (CCL11) but shares overlapping functions, including promoting cell migration and activation through chemotactic signaling. Dysregulation of Eotaxin-2 has been linked to pathological conditions such as atopic dermatitis, pulmonary fibrosis, and certain cancers.

Eotaxin-2 antibodies are essential tools for studying its expression, localization, and function in both research and clinical settings. These antibodies enable the detection of Eotaxin-2 in tissues or biological fluids via techniques like ELISA, immunohistochemistry, and Western blotting. Neutralizing antibodies, in particular, help investigate its role in disease mechanisms by blocking interactions with CCR3. offering insights into potential therapeutic strategies. Commercially available antibodies are typically validated for specificity and sensitivity across species, including human and mouse models. Recent studies highlight Eotaxin-2 as a biomarker for eosinophilic disorders and a target for anti-inflammatory therapies. Its antibody-based inhibition shows promise in preclinical models for reducing tissue eosinophilia and inflammation, underscoring its translational relevance in immune-mediated diseases.

客户数据及评论

折叠内容

大包装询价

×