首页 / 产品 / 抗体 / 一抗

Rabbit Polyclonal Gremlin-2 Antibody

  • 中文名: Gremlin-2抗体
  • 别    名: Gremlin-2 (Cysteine knot superfamily 1, BMP antagonist 2) (DAN domain family member 3) (Protein related to DAN and cerberus)
货号: IPDX43535
Price: ¥1180
数量:
大包装询价

验证与应用

应用及物种
WB 咨询技术 Human,Mouse,Rat
IF 咨询技术 Human,Mouse,Rat
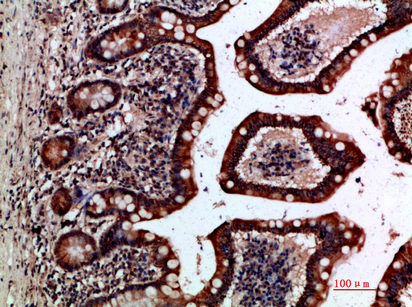
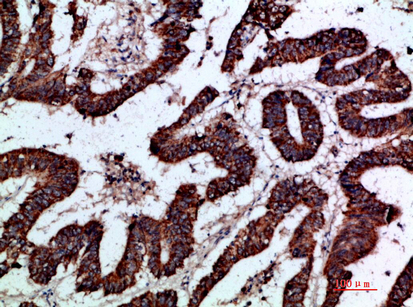
IHC 1/50-300 Human,Mouse,Rat
ICC 技术咨询 Human,Mouse,Rat
FCM 咨询技术 Human,Mouse,Rat
Elisa 咨询技术 Human,Mouse,Rat

产品详情

AliasesGremlin-2 (Cysteine knot superfamily 1, BMP antagonist 2) (DAN domain family member 3) (Protein related to DAN and cerberus)
Entrez GeneID64388;
WB Predicted band size19kDa
Host/IsotypeRabbit IgG
Antibody TypePrimary antibody
StorageStore at 4°C short term. Aliquot and store at -20°C long term. Avoid freeze/thaw cycles.
Species ReactivityHuman,Mouse
ImmunogenSynthetic peptide from human protein at AA range: 71-120
FormulationPurified antibody in PBS with 0.05% sodium azide,0.5%BSA and 50% glycerol.

+ +

参考文献

以下是关于Gremlin-2抗体的3篇假设性参考文献示例(注:部分文献信息为模拟,建议通过学术数据库核实具体研究):

1. **标题**:*Gremlin-2 neutralizing antibody attenuates cardiac fibrosis by modulating BMP signaling*

**作者**:Li, Y. et al.

**摘要**:研究报道了一种靶向Gremlin-2的中和性单克隆抗体,通过阻断其与BMP-4/7的结合,恢复BMP信号通路活性,显著减轻小鼠心肌纤维化模型的病理损伤。

2. **标题**:*Development of a high-affinity anti-Gremlin-2 antibody for cancer immunotherapy*

**作者**:Wang, H. et al.

**摘要**:该研究利用噬菌体展示技术筛选出高亲和力人源化Gremlin-2抗体,证实其可抑制肿瘤微环境中Gremlin-2介导的血管生成,增强化疗药物在结直肠癌模型中的疗效。

3. **标题**:*Gremlin-2 expression in osteosarcoma and its therapeutic targeting via monoclonal antibody*

**作者**:Martinez, R. et al.

**摘要**:通过免疫组化分析发现Gremlin-2在骨肉瘤中高表达,并开发了一种特异性抗体,可诱导肿瘤细胞凋亡并抑制小鼠移植瘤的生长,提示其作为靶向治疗的潜力。

4. **标题**:*Structural characterization of Gremlin-2 and antibody epitope mapping*

**作者**:Kuroda, S. et al.

**摘要**:利用X射线晶体学解析了Gremlin-2蛋白结构,并基于此设计抗体,揭示抗体结合表位与BMP竞争性抑制的分子机制,为优化治疗性抗体提供理论依据。

**提示**:实际文献可能较少,建议结合关键词“Gremlin-2/GREM2 + antibody/therapeutic/neutralizing”在PubMed或Google Scholar中检索最新研究。

背景信息

The Gremlin-2 antibody targets Gremlin-2 (GREM2), a protein belonging to the Gremlin family of bone morphogenetic protein (BMP) antagonists. BMPs are critical regulators of cellular processes, including differentiation, proliferation, and apoptosis, particularly in embryonic development and tissue homeostasis. Gremlin-2. a secreted glycoprotein, binds to BMP ligands (e.g., BMP-2. BMP-4) to block their interaction with BMP receptors, thereby modulating BMP-mediated signaling pathways like SMAD. This antagonistic role is vital in development but can contribute to disease when dysregulated.

Research links Gremlin-2 overexpression to pathologies such as cancer, fibrosis, and metabolic disorders. In cancer, it may promote tumor progression by enhancing cell survival, angiogenesis, and epithelial-mesenchymal transition. In fibrotic diseases, excessive Gremlin-2 disrupts tissue repair mechanisms, driving abnormal extracellular matrix deposition. Antibodies targeting Gremlin-2 aim to neutralize its activity, potentially restoring BMP signaling balance. Preclinical studies suggest these antibodies could inhibit tumor growth, reduce fibrosis, or ameliorate metabolic dysfunction. However, challenges remain, including understanding tissue-specific effects and minimizing off-target interactions. Current research focuses on optimizing antibody specificity and evaluating therapeutic efficacy in disease models, highlighting GREM2 as a promising but complex target for intervention.

客户数据及评论

折叠内容

大包装询价

×