首页 / 产品 / 抗体 / 一抗

Rabbit Polyclonal NLRX1 Antibody

  • 中文名: NLRX1抗体
  • 别    名: NLR family member X1 (Caterpiller protein 11.3) (CLR11.3) (Nucleotide-binding oligomerization domain protein 26) (Nucleotide-binding oligomerization domain protein 5) (Nucleotide-binding oligomerization domain protein 9)
货号: IPDX43527
Price: ¥1180
数量:
大包装询价

验证与应用

应用及物种
WB 咨询技术 Human,Mouse,Rat
IF 咨询技术 Human,Mouse,Rat
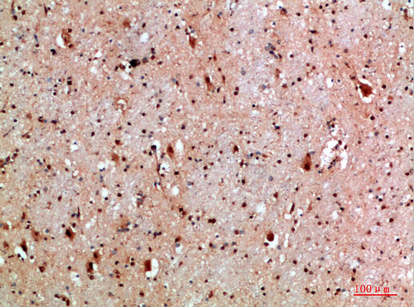
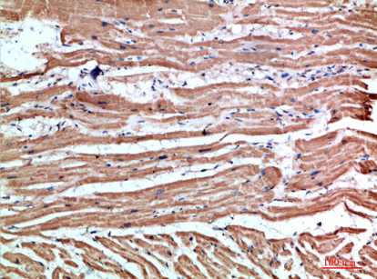
IHC 1/100-1/300 Human,Mouse,Rat
ICC 技术咨询 Human,Mouse,Rat
FCM 咨询技术 Human,Mouse,Rat
Elisa 咨询技术 Human,Mouse,Rat

产品详情

AliasesNLR family member X1 (Caterpiller protein 11.3) (CLR11.3) (Nucleotide-binding oligomerization domain protein 26) (Nucleotide-binding oligomerization domain protein 5) (Nucleotide-binding oligomerization domain protein 9)
Entrez GeneID79671;
WB Predicted band size108kDa
Host/IsotypeRabbit IgG
Antibody TypePrimary antibody
StorageStore at 4°C short term. Aliquot and store at -20°C long term. Avoid freeze/thaw cycles.
Species ReactivityHuman,Mouse,Rat
ImmunogenSynthesized peptide derived from NLRX1 at AA range: 581-630
FormulationPurified antibody in PBS with 0.05% sodium azide,0.5%BSA and 50% glycerol.

+ +

参考文献

以下是关于NLRX1抗体的3篇参考文献,包含文献名称、作者及简要摘要内容:

---

1. **文献名称**:*NLRX1 is a mitochondrial NOD-like receptor that amplifies NF-κB and JNK pathways by inducing reactive oxygen species production*

**作者**:Tattoli, I., et al.

**摘要**:该研究首次鉴定了NLRX1作为线粒体定位的NOD样受体,通过产生活性氧(ROS)调控NF-κB和JNK信号通路。研究中使用特异性NLRX1抗体进行免疫印迹(Western blot)和免疫荧光实验,验证了其在线粒体中的定位及功能。

---

2. **文献名称**:*NLRX1 negatively regulates type I interferon and inflammatory responses by targeting MAVS*

**作者**:Lei, Y., et al.

**摘要**:本文发现NLRX1通过抑制MAVS信号通路负调控I型干扰素产生。实验中使用NLRX1抗体进行免疫共沉淀(Co-IP)和免疫组化分析,证明NLRX1与MAVS的相互作用及其在抗病毒免疫中的调控机制。

---

3. **文献名称**:*NLRX1 modulates immunometabolic mechanisms during viral infection*

**作者**:Soares, F., et al.

**摘要**:该研究探讨NLRX1在病毒感染期间通过调控代谢重编程影响免疫反应。通过NLRX1抗体的流式细胞术和蛋白质印迹实验,揭示了其在巨噬细胞代谢和炎症因子表达中的双重作用。

---

4. **文献名称**:*NLRX1 interacts with STING and suppresses the DNA-sensing pathway*

**作者**:Xia, X., et al.

**摘要**:研究发现NLRX1通过结合STING蛋白抑制DNA传感通路。利用NLRX1抗体进行免疫荧光共定位和蛋白质互作实验,证实了其在天然免疫中对cGAS-STING通路的负向调控功能。

---

以上文献均涉及NLRX1抗体的实验应用(如Western blot、免疫共沉淀等),可为进一步研究提供参考。

背景信息

The NLRX1 antibody is a research tool designed to detect NLR family member X1 (NLRX1), a mitochondrial-associated protein belonging to the NOD-like receptor (NLR) family. NLRX1 is unique among NLRs due to its localization in mitochondria and its dual roles in modulating innate immune responses and mitochondrial functions. It interacts with mitochondrial antiviral-signaling protein (MAVS) and regulates pathways like NF-κB, type I interferon production, and reactive oxygen species (ROS) signaling, influencing inflammation, antiviral immunity, and cellular stress responses. NLRX1 antibodies are widely used in studies investigating its expression patterns, subcellular localization, and protein-protein interactions through techniques such as Western blotting, immunofluorescence, and immunoprecipitation. These antibodies are typically raised in hosts like rabbits or mice, targeting specific epitopes of human, mouse, or rat NLRX1. Research has linked NLRX1 to various diseases, including cancer, autoimmune disorders, and viral infections, though its role (pro- vs. anti-tumor) remains context-dependent and debated. Commercially available NLRX1 antibodies are offered by companies like Cell Signaling Technology, Abcam, and Santa Cruz Biotechnology, often validated using knockout cell lines to confirm specificity. Ongoing studies aim to clarify NLRX1’s regulatory mechanisms and therapeutic potential, making its antibody a critical reagent in immunology and mitochondrial biology research.

客户数据及评论

折叠内容

大包装询价

×