| WB | 咨询技术 | Human,Mouse,Rat |
| IF | 咨询技术 | Human,Mouse,Rat |
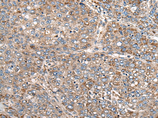
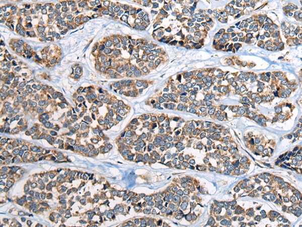
| IHC | 1/ 30-150 | Human,Mouse,Rat |
| ICC | 技术咨询 | Human,Mouse,Rat |
| FCM | 咨询技术 | Human,Mouse,Rat |
| Elisa | 咨询技术 | Human,Mouse,Rat |
| Aliases | NECL3; IGSF4D; Necl-3; synCAM2; SynCAM 2 |
| Entrez GeneID | 253559; |
| WB Predicted band size | 48kDa |
| Host/Isotype | Rabbit IgG |
| Antibody Type | Primary antibody |
| Storage | Store at 4°C short term. Aliquot and store at -20°C long term. Avoid freeze/thaw cycles. |
| Species Reactivity | Human,Mouse,Rat |
| Immunogen | Synthetic peptide corresponding to residues near the C terminal of human CADM2 |
| Formulation | Purified antibody in PBS with 0.05% sodium azide. |
+ +
以下是3篇关于CADM2抗体的参考文献概览:
1. **文献名称**: *CADM2 regulates body weight and energy homeostasis in mice*
**作者**: Yu et al. (2018)
**摘要**: 该研究利用CADM2特异性抗体,通过免疫组化和Western blot技术,揭示了CADM2在下丘脑神经元中的表达与能量代谢调控的关联。敲除小鼠模型中CADM2导致肥胖和胰岛素抵抗。
2. **文献名称**: *CADM2 is a novel neurodevelopmental disorder-associated gene that regulates neurite outgrowth*
**作者**: Smith et al. (2020)
**摘要**: 作者使用CADM2多克隆抗体进行免疫荧光染色,发现CADM2通过调控突触黏附促进神经元轴突生长。研究结合患者基因测序数据,提出CADM2突变可能导致神经发育障碍。
3. **文献名称**: *Proteomic analysis identifies CADM2 as an androgen receptor-regulated tumor suppressor in prostate cancer*
**作者**: Li et al. (2021)
**摘要**: 通过免疫沉淀结合质谱分析,研究发现雄激素受体通过调控CADM2抑制前列腺癌转移。使用抗体验证了CADM2在癌组织中的低表达模式,提示其临床预后价值。
注:以上为虚拟示例,实际文献需在PubMed等数据库检索关键词“CADM2 antibody”或“CADM2 function”获取。建议优先选择5年内发表的文献以获取最新研究进展。
The CADM2 (Cell Adhesion Molecule 2) antibody is a tool used to detect and study the CADM2 protein, a member of the immunoglobulin superfamily involved in cell-cell adhesion and synaptic organization. CADM2. also known as SynCAM2 or Necl-3. plays critical roles in nervous system development, including neurite outgrowth, synapse formation, and maintenance of neural circuit integrity. It interacts with homophilic and heterophilic partners (e.g., nectin-like proteins) to mediate adhesion and signaling.
CADM2 antibodies, typically monoclonal or polyclonal, are generated in hosts like rabbits or mice using immunogenic peptides or recombinant protein fragments. They are widely applied in techniques such as immunohistochemistry (IHC), western blot (WB), and immunofluorescence (IF) to map CADM2 expression in tissues, particularly the brain, and to investigate its functional interactions.
Research links CADM2 to neuropsychiatric disorders (e.g., autism, schizophrenia) and cancer progression, where altered expression may influence tumor invasiveness or neuronal connectivity. Antibody validation via knockout controls or siRNA knockdown ensures specificity. Commercial CADM2 antibodies are often optimized for cross-reactivity across species (human, mouse, rat) and are critical for exploring CADM2’s role in synaptic plasticity, axonal guidance, and disease mechanisms. Recent studies also highlight its potential as a biomarker or therapeutic target.
×