| WB | 咨询技术 | Human,Mouse,Rat |
| IF | 咨询技术 | Human,Mouse,Rat |
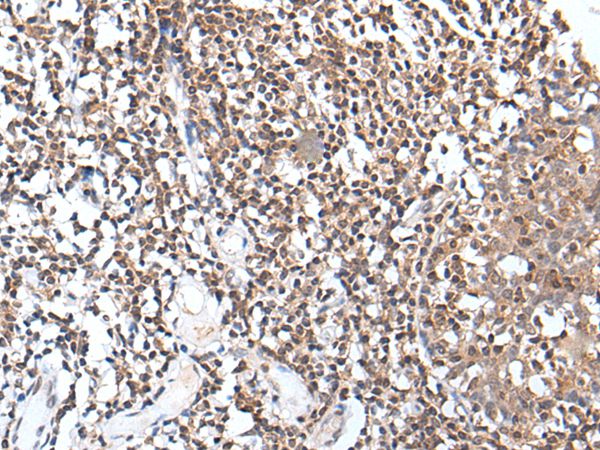
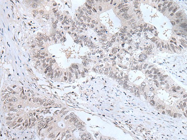
| IHC | 1/ 20-100 | Human,Mouse,Rat |
| ICC | 技术咨询 | Human,Mouse,Rat |
| FCM | 咨询技术 | Human,Mouse,Rat |
| Elisa | 咨询技术 | Human,Mouse,Rat |
| Aliases | TCF3; TCF-3 |
| Entrez GeneID | 83439; |
| WB Predicted band size | 63kDa |
| Host/Isotype | Rabbit IgG |
| Antibody Type | Primary antibody |
| Storage | Store at 4°C short term. Aliquot and store at -20°C long term. Avoid freeze/thaw cycles. |
| Species Reactivity | Human |
| Immunogen | Synthetic peptide of human TCF7L1 |
| Formulation | Purified antibody in PBS with 0.05% sodium azide. |
+ +
以下是关于TCF7L1抗体的3篇参考文献及其摘要内容:
---
1. **文献名称**: *TCF7L1 mediates the transcriptional regulation of β-catenin-dependent Wnt signaling*
**作者**: Yi F, et al.
**摘要**: 该研究通过TCF7L1抗体进行染色质免疫沉淀(ChIP)和Western blot分析,揭示了TCF7L1在抑制结直肠癌细胞中β-catenin依赖性Wnt信号通路的关键作用,并发现其表达缺失与肿瘤侵袭性相关。
---
2. **文献名称**: *A role for TCF7L1 in the self-renewal of embryonic stem cells*
**作者**: Merrill BJ, et al.
**摘要**: 研究利用TCF7L1特异性抗体进行免疫荧光和功能缺失实验,证明TCF7L1通过抑制分化相关基因维持小鼠胚胎干细胞的自我更新能力,其缺失导致干细胞向中胚层分化。
---
3. **文献名称**: *TCF7L1 modulates pancreatic cancer progression by regulating epithelial-mesenchymal transition*
**作者**: Wang H, et al.
**摘要**: 通过免疫组织化学(IHC)和TCF7L1抗体检测,研究发现TCF7L1在胰腺癌中低表达,并通过调控E-cadherin等上皮标志物抑制上皮-间质转化(EMT),提示其作为肿瘤抑制因子的潜在机制。
---
以上文献均通过TCF7L1抗体验证其在Wnt信号通路、干细胞分化及癌症中的功能,涵盖实验方法如ChIP、Western blot和IHC等。
**Background of TCF7L1 Antibody**
TCF7L1 (T-cell factor 7-like 1), also known as TCF3. is a member of the TCF/LEF family of transcription factors that play critical roles in the Wnt/β-catenin signaling pathway. This pathway regulates key biological processes, including embryonic development, cell differentiation, and stem cell maintenance. TCF7L1 contains a high-mobility group (HMG) DNA-binding domain and a β-catenin interaction domain. Unlike other TCF members (e.g., TCF7L2), TCF7L1 primarily acts as a transcriptional repressor in the absence of Wnt signaling by recruiting co-repressors (e.g., Groucho/TLE) to silence target genes. Upon Wnt activation, β-catenin translocates to the nucleus, displaces co-repressors, and converts TCF7L1 into a transcriptional activator, driving expression of Wnt-responsive genes.
Antibodies targeting TCF7L1 are essential tools for studying its expression, localization, and function. They are widely used in techniques such as Western blotting, immunohistochemistry (IHC), immunofluorescence (IF), and chromatin immunoprecipitation (ChIP). These antibodies help elucidate TCF7L1's role in development and diseases, particularly cancers (e.g., colorectal, breast) where dysregulated Wnt signaling is common. Monoclonal and polyclonal TCF7L1 antibodies are available, often validated for specificity using knockout cell lines or siRNA-mediated knockdown. Researchers must verify antibody performance in their experimental systems due to potential cross-reactivity with other TCF family members. Reliable TCF7L1 antibodies remain crucial for dissecting Wnt pathway dynamics and therapeutic targeting.
×