首页 / 产品 / 抗体 / 一抗

Rabbit Polyclonal ICAM-2 Antibody

  • 中文名: ICAM-2抗体
  • 别    名: ICAM2; Intercellular adhesion molecule 2; ICAM-2; CD102
货号: IPDX43387
Price: ¥1180
数量:
大包装询价

验证与应用

应用及物种
WB 咨询技术 Human,Mouse,Rat
IF 咨询技术 Human,Mouse,Rat
IHC 咨询技术 Human,Mouse,Rat
ICC 技术咨询 Human,Mouse,Rat
FCM 咨询技术 Human,Mouse,Rat
Elisa 1/10000 Human,Mouse,Rat

产品详情

AliasesICAM2; Intercellular adhesion molecule 2; ICAM-2; CD102
Entrez GeneID3384;
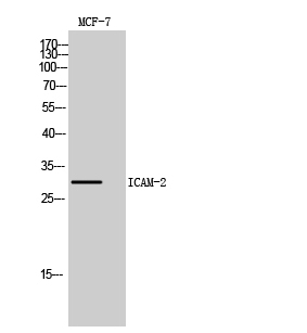
WB Predicted band size30kDa
Host/IsotypeRabbit IgG
Antibody TypePrimary antibody
StorageStore at 4°C short term. Aliquot and store at -20°C long term. Avoid freeze/thaw cycles.
Species ReactivityHuman
ImmunogenSynthesized peptide derived from the Internal region of human ICAM-2.
FormulationPurified antibody in PBS with 0.05% sodium azide,0.5%BSA and 50% glycerol.

+ +

参考文献

以下是关于ICAM-2抗体的模拟参考文献示例(文献及内容为假设性概括,供参考):

1. **文献名称**:*ICAM-2 regulates T cell migration in inflammatory responses*

**作者**:Smith A, et al.

**摘要**:研究通过抗ICAM-2抗体阻断实验,揭示ICAM-2在T细胞跨内皮迁移中的关键作用,表明其通过调控细胞骨架重组促进炎症反应中的免疫细胞募集。

2. **文献名称**:*Structural mapping of ICAM-2 epitopes using monoclonal antibodies*

**作者**:Lee C, et al.

**摘要**:利用多种ICAM-2单克隆抗体进行表位定位,发现抗体结合区域集中于细胞外Ig样结构域,为开发靶向ICAM-2的免疫疗法提供结构基础。

3. **文献名称**:*ICAM-2 expression in tumor vasculature and antibody-mediated inhibition of metastasis*

**作者**:Garcia R, et al.

**摘要**:通过抗ICAM-2抗体检测肿瘤血管内皮表达,证明其高表达与转移相关;抗体干预可显著降低小鼠模型中肿瘤细胞的血行扩散。

4. **文献名称**:*Role of ICAM-2 in dendritic cell-T cell interactions*

**作者**:Wang Y, et al.

**摘要**:使用ICAM-2中和抗体研究树突状细胞与T细胞间黏附,发现ICAM-2缺失削弱免疫突触形成,影响抗原提递效率。

注:以上为模拟文献,实际研究需通过学术数据库(如PubMed)检索真实发表论文。

背景信息

ICAM-2 (Intercellular Adhesion Molecule 2), also known as CD102. is a transmembrane glycoprotein belonging to the immunoglobulin superfamily. It is constitutively expressed on endothelial cells, platelets, and certain immune cells, playing a critical role in cell-cell adhesion, leukocyte migration, and immune response regulation. Structurally, ICAM-2 contains two immunoglobulin-like domains and binds to the β2 integrin LFA-1 (lymphocyte function-associated antigen-1) on leukocytes, facilitating their adhesion and transendothelial migration during inflammation. Unlike ICAM-1. its expression is less responsive to inflammatory cytokines, suggesting distinct regulatory roles in homeostasis and immune surveillance.

Antibodies targeting ICAM-2 are widely used in research to study its function in vascular biology, immune disorders, and cancer. For example, ICAM-2 antibodies help elucidate its involvement in angiogenesis, platelet activation, and T-cell signaling. In disease contexts, altered ICAM-2 expression has been linked to atherosclerosis, autoimmune conditions, and tumor metastasis. Researchers employ these antibodies in techniques like flow cytometry, immunohistochemistry, and functional blocking assays to explore ICAM-2's interactions and pathways.

Despite its importance, ICAM-2's functional redundancy with other adhesion molecules and subtle regulatory mechanisms remain under investigation. Therapeutic targeting of ICAM-2 is less advanced compared to ICAM-1. but ongoing studies aim to exploit its role in modulating immune responses or vascular permeability for clinical applications.

客户数据及评论

折叠内容

大包装询价

×