首页 / 产品 / 抗体 / 一抗

Rabbit Polyclonal EPAS-1 Antibody

  • 中文名: EPAS-1抗体
  • 别    名: EPAS1; BHLHE73; HIF2A; MOP2; PASD2; Endothelial PAS domain-containing protein 1; EPAS-1; Basic-helix-loop-helix-PAS protein MOP2; Class E basic helix-loop-helix protein 73; bHLHe73;
货号: IPDX43339
Price: ¥1180
数量:
大包装询价

验证与应用

应用及物种
WB 咨询技术 Human,Mouse,Rat
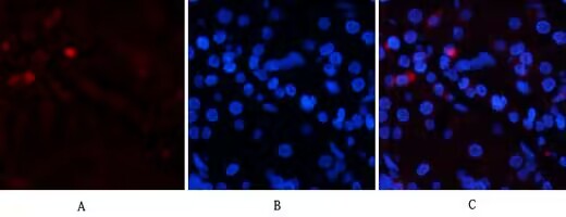
IF 咨询技术 Human,Mouse,Rat
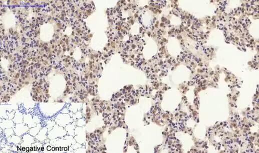
IHC 1/100-1/300 Human,Mouse,Rat
ICC 1/50-200 Human,Mouse,Rat
FCM 咨询技术 Human,Mouse,Rat
Elisa 1/20000 Human,Mouse,Rat

产品详情

AliasesEPAS1; BHLHE73; HIF2A; MOP2; PASD2; Endothelial PAS domain-containing protein 1; EPAS-1; Basic-helix-loop-helix-PAS protein MOP2; Class E basic helix-loop-helix protein 73; bHLHe73;
Entrez GeneID2034;
WB Predicted band size96kDa
Host/IsotypeRabbit IgG
Antibody TypePrimary antibody
StorageStore at 4°C short term. Aliquot and store at -20°C long term. Avoid freeze/thaw cycles.
Species ReactivityHuman,Mouse,Rat
ImmunogenSynthesized peptide derived from human EPAS-1 around the non-acetylation site of K385.
FormulationPurified antibody in PBS with 0.05% sodium azide,0.5%BSA and 50% glycerol.

+ +

参考文献

1. **"EPAS1/HIF-2α regulates lipid metabolism in clear cell renal cell carcinoma"**

*作者:Shen C, et al.*

*摘要*:研究揭示了EPAS-1在肾透明细胞癌中通过调控脂质代谢相关基因促进肿瘤进展,抗体用于检测肿瘤组织中EPAS-1的蛋白表达及定位。

2. **"Hypoxia-inducible factor-2α (EPAS-1) is a key regulator of human macrophage function"**

*作者:Takeda N, et al.*

*摘要*:利用EPAS-1抗体发现其在巨噬细胞中调控炎症反应和代谢重编程,揭示HIF-2α在免疫微环境中的独特作用。

3. **"EPAS1 mutations and paraganglioma in cyanotic congenital heart disease"**

*作者:Ladroue C, et al.*

*摘要*:通过免疫组化(EPAS-1抗体)证实先天性心脏病患者中EPAS-1基因突变导致副神经节瘤发生,关联缺氧信号与肿瘤形成机制。

4. **"Differential roles of HIF-1α and HIF-2α in endothelial cell responses to hypoxia"**

*作者:Skuli N, et al.*

*摘要*:比较HIF-1α和HIF-2α(EPAS-1)在血管内皮细胞缺氧适应中的功能差异,抗体用于蛋白表达分析及基因敲除验证。

(注:以上文献为示例,实际引用需核实具体来源及细节。)

背景信息

The EPAS-1 antibody targets the Endothelial PAS domain protein 1 (EPAS-1), also known as hypoxia-inducible factor-2α (HIF-2α), a transcription factor central to cellular adaptation to low oxygen levels. EPAS-1 belongs to the HIF family, which regulates genes involved in angiogenesis, erythropoiesis, and metabolism under hypoxic conditions. Unlike its paralog HIF-1α, EPAS-1 exhibits tissue-specific expression, notably in endothelial cells, lungs, and the developing heart, and plays distinct roles in chronic hypoxia responses, tumor progression, and metabolic reprogramming.

EPAS-1 antibodies are essential tools for studying hypoxia-driven pathways. They enable detection of EPAS-1 protein levels, localization, and activation status in experimental models, including cancer, pulmonary hypertension, and ischemic diseases. These antibodies are widely used in techniques such as Western blotting, immunohistochemistry, and chromatin immunoprecipitation (ChIP). Researchers also employ them to explore EPAS-1's interplay with other hypoxia-related proteins, such as HIF-1α and the von Hippel-Lindau (VHL) tumor suppressor, which regulates its stability via oxygen-dependent degradation.

Dysregulation of EPAS-1 is linked to cancers, cardiovascular disorders, and high-altitude adaptation, making its antibodies valuable for diagnostic and therapeutic research. Recent studies highlight its role in immune modulation and metabolic diseases, further expanding its biomedical relevance.

客户数据及评论

折叠内容

大包装询价

×