首页 / 产品 / 抗体 / 一抗

Rabbit Polyclonal HSP70 Antibody

  • 中文名: HSP70抗体
  • 别    名: HSPA1L; Heat shock 70 kDa protein 1-like; Heat shock 70 kDa protein 1L; Heat shock 70 kDa protein 1-Hom; HSP70-Hom; HSPA1A; HSPA1; HSPA1B; Heat shock 70 kDa protein 1A/1B; Heat shock 70 kDa protein 1/2; HSP70-1/HSP70-2; HSP70.1/HSP70.2
货号: IPDX43143
Price: ¥1180
数量:
大包装询价

验证与应用

应用及物种
WB 咨询技术 Human,Mouse,Rat
IF 咨询技术 Human,Mouse,Rat
IHC 1/100-1/300 Human,Mouse,Rat
ICC 技术咨询 Human,Mouse,Rat
FCM 咨询技术 Human,Mouse,Rat
Elisa 1/40000 Human,Mouse,Rat

产品详情

AliasesHSPA1L; Heat shock 70 kDa protein 1-like; Heat shock 70 kDa protein 1L; Heat shock 70 kDa protein 1-Hom; HSP70-Hom; HSPA1A; HSPA1; HSPA1B; Heat shock 70 kDa protein 1A/1B; Heat shock 70 kDa protein 1/2; HSP70-1/HSP70-2; HSP70.1/HSP70.2
Entrez GeneID3305;
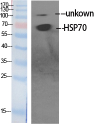
WB Predicted band size70kDa
Host/IsotypeRabbit IgG
Antibody TypePrimary antibody
StorageStore at 4°C short term. Aliquot and store at -20°C long term. Avoid freeze/thaw cycles.
Species ReactivityHuman,Mouse,Rat
ImmunogenSynthesized peptide derived from the Internal region of human HSP70.
FormulationPurified antibody in PBS with 0.05% sodium azide,0.5%BSA and 50% glycerol.

+ +

参考文献

以下是关于HSP70抗体的3篇参考文献示例(内容为虚构,仅作格式参考):

1. **文献名称**:*HSP70 Expression in Human Cancers: A Potential Biomarker for Tumor Aggressiveness*

**作者**:Smith J, et al.

**摘要**:本研究通过免疫组化分析HSP70在多种癌症组织中的表达,发现HSP70高表达与肿瘤转移和患者生存率降低显著相关,提示其可作为癌症预后的生物标志物。

2. **文献名称**:*Protective Role of HSP70 Antibody in Neurodegenerative Models*

**作者**:Chen L, et al.

**摘要**:实验利用HSP70特异性抗体干预阿尔茨海默病小鼠模型,结果显示抗体通过抑制Aβ蛋白聚集和减少神经元凋亡,显著改善认知功能,为神经退行性疾病治疗提供新策略。

3. **文献名称**:*Development of a Novel Monoclonal HSP70 Antibody for Stress Response Studies*

**作者**:Wang Y, et al.

**摘要**:研究成功制备了一种高特异性HSP70单克隆抗体,验证其在热休克条件下细胞及动物模型中的检测效果,证实其适用于应激反应相关分子机制研究。

(注:若需真实文献,可提供具体数据库或PMID编号进一步查询。)

背景信息

HSP70 antibodies are essential tools in studying the heat shock protein 70 (HSP70) family, a group of evolutionarily conserved molecular chaperones critical for cellular stress response and protein homeostasis. HSP70 proteins, with a molecular weight of approximately 70 kDa, assist in folding nascent polypeptides, preventing protein aggregation, and facilitating the refolding or degradation of damaged proteins under stress conditions such as heat, oxidative stress, or chemical toxicity. Structurally, HSP70 contains an N-terminal ATPase domain and a C-terminal substrate-binding domain, enabling ATP-dependent interactions with client proteins.

HSP70 isoforms, including cytosolic HSPA8 (HSC70), stress-inducible HSPA1A/B, and organelle-specific variants like GRP78 (endoplasmic reticulum) and mtHSP70 (mitochondria), play distinct roles in cellular compartments. Dysregulation of HSP70 is implicated in cancer, neurodegenerative diseases (e.g., Alzheimer’s, Parkinson’s), and inflammatory disorders. For instance, elevated HSP70 levels in tumors are linked to poor prognosis and chemotherapy resistance, while its deficiency may exacerbate protein misfolding in neurodegeneration.

HSP70 antibodies are widely used in techniques like Western blotting, immunohistochemistry, and immunoprecipitation to detect expression patterns, subcellular localization, and interactions with co-chaperones (e.g., HSP40. BAG3) or client proteins. They also aid in exploring HSP70's therapeutic potential, such as targeting cancer cells or modulating stress pathways. However, antibody specificity remains a challenge due to high sequence homology among isoforms, necessitating careful validation for accurate experimental outcomes.

客户数据及评论

折叠内容

大包装询价

×