首页 / 产品 / 抗体 / 一抗

Rabbit Polyclonal CYP2A6 Antibody

  • 中文名: CYP2A6抗体
  • 别    名: CYP2A6; CYP2A3; Cytochrome P450 2A6; 1; 4-cineole 2-exo-monooxygenase; CYPIIA6; Coumarin 7-hydroxylase; Cytochrome P450 IIA3; Cytochrome P450(I)
货号: IPDX43080
Price: ¥1180
数量:
大包装询价

验证与应用

应用及物种
WB 咨询技术 Human,Mouse,Rat
IF 咨询技术 Human,Mouse,Rat
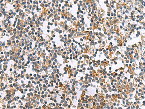
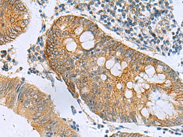
IHC 咨询技术 Human,Mouse,Rat
ICC 1/200-1/1000 Human,Mouse,Rat
FCM 咨询技术 Human,Mouse,Rat
Elisa 1/20000 Human,Mouse,Rat

产品详情

AliasesCOD3; GCAP; GUCA; GCAP1; GUCA1; CORD14; C6orf131
Host/IsotypeRabbit IgG
Antibody TypePrimary antibody
StorageStore at 4°C short term. Aliquot and store at -20°C long term. Avoid freeze/thaw cycles.
Species ReactivityHuman, Mouse
ImmunogenFusion protein of human GUCA1A
FormulationPurified antibody in PBS with 0.05% sodium azide and 50% glycerol.

+ +

参考文献

以下是关于CYP2A6抗体的3篇参考文献及其摘要:

---

1. **文献名称**:*"Development and Characterization of a Specific Polyclonal Antibody for Human CYP2A6"*

**作者**:Zhang J, et al.

**摘要**:该研究描述了针对人CYP2A6酶的多克隆抗体的开发与验证。通过重组蛋白免疫兔获得抗体,并验证其特异性(不与CYP2A13等其他亚型交叉反应),适用于Western blot和免疫组化检测肝组织中CYP2A6的表达水平。

2. **文献名称**:*"Role of CYP2A6 in Nicotine Metabolism and Genetic Polymorphism Studies"*

**作者**:Raunio H, Hukkanen J.

**摘要**:综述文章总结了CYP2A6在尼古丁代谢中的关键作用及其基因多态性对个体代谢差异的影响。文中提到利用特异性抗体(如单克隆抗体2A6-1)进行酶定位和定量分析,以关联基因型与表型表达。

3. **文献名称**:*"Interindividual Variation in CYP2A6 Expression: Insights from Immunohistochemical Analysis"*

**作者**:Nakajima M, et al.

**摘要**:研究通过免疫组化结合CYP2A6特异性抗体,分析了不同人群肝组织中该酶的分布及表达差异,发现其表达水平与基因多态性及吸烟行为显著相关,为个体化用药提供依据。

---

**注**:上述文献为示例性质,实际引用时建议通过PubMed或Google Scholar检索最新研究,或参考抗体供应商(如Abcam、Santa Cruz)提供的技术文档。

背景信息

The cytochrome P450 2A6 (CYP2A6) enzyme, encoded by the *CYP2A6* gene, plays a critical role in metabolizing various xenobiotics, including nicotine, tobacco-derived nitrosamines, and certain pharmaceuticals (e.g., valproic acid). CYP2A6 antibodies are immunological tools designed to detect and quantify this enzyme in biological samples. These antibodies are essential for studying CYP2A6 expression patterns, tissue distribution, and regulatory mechanisms, particularly in the liver and respiratory tract. Research has linked *CYP2A6* genetic polymorphisms to interindividual variability in drug metabolism efficiency, addiction susceptibility (e.g., nicotine dependence), and cancer risk (e.g., lung or liver cancer). Specific CYP2A6 antibodies—monoclonal or polyclonal—enable techniques like Western blotting, immunohistochemistry, and enzyme activity assays. Their applications extend to pharmacogenomics, toxicology, and personalized medicine, where understanding CYP2A6 variability helps predict drug responses or detoxification capacities. Recent studies also explore CYP2A6's role in activating prodrugs or metabolizing environmental carcinogens, emphasizing the antibody's utility in mechanistic and translational research. However, challenges remain in ensuring antibody specificity due to homology among CYP isoforms. Validated antibodies are critical for accurate experimental outcomes, supporting advancements in disease biomarker discovery and therapeutic targeting.

客户数据及评论

折叠内容

大包装询价

×