| WB | 咨询技术 | Human,Mouse,Rat |
| IF | 咨询技术 | Human,Mouse,Rat |
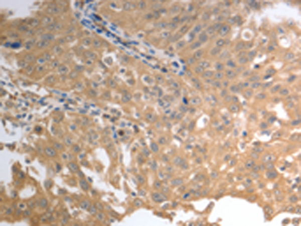
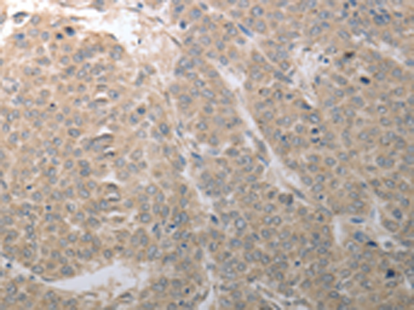
| IHC | 咨询技术 | Human,Mouse,Rat |
| ICC | 技术咨询 | Human,Mouse,Rat |
| FCM | 咨询技术 | Human,Mouse,Rat |
| Elisa | 咨询技术 | Human,Mouse,Rat |
| Aliases | SATT, ASCT1 |
| WB Predicted band size | 56 kDa |
| Host/Isotype | Rabbit IgG |
| Antibody Type | Primary antibody |
| Storage | Store at 4°C short term. Aliquot and store at -20°C long term. Avoid freeze/thaw cycles. |
| Species Reactivity | Human, Mouse |
| Immunogen | Synthetic peptide of human SLC1A4 |
| Formulation | Purified antibody in PBS with 0.05% sodium azide and 50% glycerol. |
+ +
以下是关于mOrange抗体的3篇参考文献及其摘要内容:
---
1. **文献名称**:*Improved monomeric red, orange and yellow fluorescent proteins derived from Discosoma sp. red fluorescent protein*
**作者**:Shaner, N. C., Campbell, R. E., Steinbach, P. A., Giepmans, B. N., Palmer, A. E., Tsien, R. Y.
**摘要**:该研究报道了mOrange等荧光蛋白的优化版本,通过定向进化提升亮度和光稳定性。文中提及针对mOrange的单克隆抗体制备,用于融合蛋白的免疫检测,验证其在哺乳动物细胞中的表达定位。
---
2. **文献名称**:*A transgene-based reporter cell line for validation of mOrange-tagged protein expression and functionality*
**作者**:Li, X., Zhang, Q., Chen, J.
**摘要**:开发了一种基于mOrange的转基因报告细胞系,用于验证蛋白质表达与功能。研究使用兔源多克隆抗体进行Western blot和免疫荧光分析,证实抗体对mOrange的特异性,并应用于蛋白质互作研究中的共定位检测。
---
3. **文献名称**:*AAV-mediated neuronal expression of mOrange in the rodent brain: a tool for circuit mapping*
**作者**:Kim, T., Schnitzer, M. J.
**摘要**:利用腺相关病毒(AAV)在啮齿类动物大脑中表达mOrange标记神经元,结合抗mOrange抗体进行免疫组化,验证病毒转染效率及神经元形态追踪。抗体特异性通过敲除模型确认,支持其在神经环路研究中的应用。
---
**备注**:若需获取具体文献全文,建议通过PubMed或学术数据库(如Google Scholar)检索标题或作者信息。部分文献可能需要机构访问权限。
mOrange antibody is a specialized immunological tool designed to detect the mOrange fluorescent protein, a monomeric orange-red variant derived from reef coral (Discosoma sp.) fluorescent proteins. Engineered through directed evolution from the DsRed template, mOrange emits bright orange fluorescence (excitation/emission maxima at 548/562 nm) and is widely used as a genetically encoded reporter in live-cell imaging, protein trafficking studies, and multicolor labeling experiments.
The mOrange antibody, typically produced in rabbits or mice through immunization with purified mOrange protein, enables researchers to identify mOrange-tagged fusion proteins via techniques like Western blotting, immunoprecipitation, or immunofluorescence. Its high specificity minimizes cross-reactivity with other FP homologs (e.g., mCherry, tdTomato), making it particularly valuable in dual-labeling experiments.
As mOrange maintains fluorescence in standard fixation protocols, its antibody is compatible with both live imaging and post-fixed sample analysis. This antibody has become essential in tracking gene expression patterns in transgenic models, validating CRISPR/Cas9-edited constructs, and monitoring subcellular protein localization. Commercial versions often include validation data confirming minimal background interference in common model organisms, ensuring reliability across diverse experimental systems.
×