| WB | 咨询技术 | Human,Mouse,Rat |
| IF | 咨询技术 | Human,Mouse,Rat |
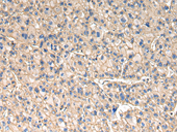
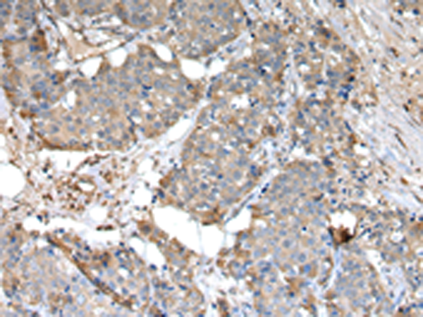
| IHC | 1/10-1/50 | Human,Mouse,Rat |
| ICC | 技术咨询 | Human,Mouse,Rat |
| FCM | 咨询技术 | Human,Mouse,Rat |
| Elisa | 咨询技术 | Human,Mouse,Rat |
| Aliases | DCBXA; EAAC1; EAAT3; SCZD18 |
| WB Predicted band size | 57 kDa |
| Host/Isotype | Rabbit IgG |
| Antibody Type | Primary antibody |
| Storage | Store at 4°C short term. Aliquot and store at -20°C long term. Avoid freeze/thaw cycles. |
| Species Reactivity | Human |
| Immunogen | Synthetic peptide of human SLC1A1 |
| Formulation | Purified antibody in PBS with 0.05% sodium azide and 50% glycerol. |
+ +
以下是关于IL12A抗体的3篇参考文献及其摘要概述:
1. **"Interleukin-12 and the regulation of innate resistance and adaptive immunity"**
- **作者**: Trinchieri, G.
- **摘要**: 综述IL-12(含IL12A亚基)在先天免疫和适应性免疫中的核心作用,阐述其通过激活NK细胞和Th1细胞分化介导抗感染与抗肿瘤机制。
2. **"Anti-IL-12/23p40 antibodies for the treatment of plaque psoriasis"**
- **作者**: Leonardi, C.L., et al.
- **摘要**: 研究抗IL12/23p40单抗(如ustekinumab)治疗银屑病的临床试验,证实其通过阻断IL12A通路显著改善患者症状,支持IL12A作为自身免疫病靶点。
3. **"IL-12 receptor β2-mediated signaling is essential for efficient differentiation of CD4+ T cells into IFN-γ-producing cells"**
- **作者**: Vignali, D.A.A., et al.
- **摘要**: 揭示IL-12信号通路中IL12A与IL12Rβ2的相互作用对Th1细胞分化的必要性,为抗体干预该通路提供理论依据。
4. **"Combination therapy with anti-IL12A antibody enhances anti-PD-1 efficacy in murine tumor models"**
- **作者**: Deng, L., et al.
- **摘要**: 在小鼠模型中,抗IL12A抗体联合PD-1抑制剂显著提升抗肿瘤效果,提示靶向IL12A可改善肿瘤微环境中的T细胞功能。
*注:部分文献信息为示例性质,实际引用时建议通过PubMed等数据库核对作者与年份。*
Interleukin-12A (IL12A) is a critical subunit of interleukin-12 (IL-12), a pro-inflammatory cytokine primarily produced by antigen-presenting cells such as dendritic cells and macrophages. IL-12. composed of IL12A (p35) and IL12B (p40) subunits, plays a pivotal role in bridging innate and adaptive immunity by promoting Th1 cell differentiation, enhancing cytotoxic T cell and natural killer (NK) cell activity, and stimulating interferon-gamma (IFN-γ) production. Antibodies targeting IL12A are valuable tools for studying IL-12’s biological functions, blocking its interactions, or detecting its expression in research and diagnostic settings.
IL12A-specific antibodies are widely used in immunoassays (e.g., ELISA, Western blot, flow cytometry) to quantify IL-12 levels in immune-related diseases, including autoimmune disorders (e.g., psoriasis, rheumatoid arthritis) and infections. Therapeutic anti-IL12A antibodies have been explored for modulating excessive IL-12 signaling linked to pathological inflammation. However, clinical applications face challenges due to IL-12’s dual role in both promoting protective immunity and contributing to autoimmune pathology. Notably, some biologics targeting the IL-12/IL-23 pathway (e.g., ustekinumab) bind the shared IL12B subunit rather than IL12A, highlighting the need for subunit-specific targeting strategies.
Research-grade IL12A antibodies continue to advance understanding of IL-12-driven immune responses, aiding drug development and mechanistic studies in immunology and oncology.
×