首页 / 产品 / 抗体 / 一抗

Rabbit Polyclonal GZMK Antibody

  • 中文名: GZMK抗体
  • 别    名: TRYP2
货号: IPDX42989
Price: ¥1180
数量:
大包装询价

验证与应用

应用及物种
WB 咨询技术 Human,Mouse,Rat
IF 咨询技术 Human,Mouse,Rat
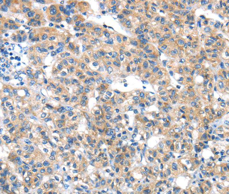
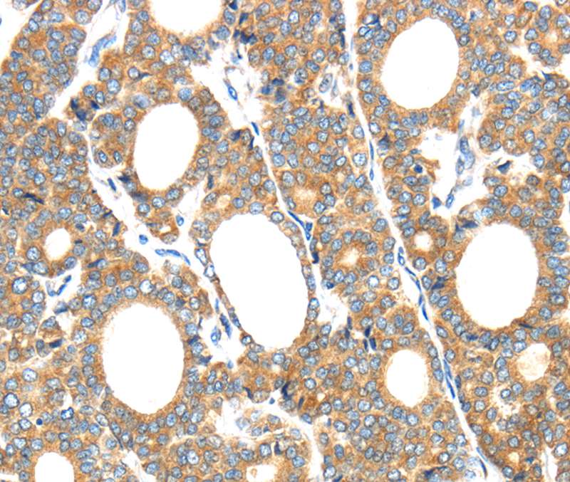
IHC 1/25-1/100 Human,Mouse,Rat
ICC 技术咨询 Human,Mouse,Rat
FCM 咨询技术 Human,Mouse,Rat
Elisa 咨询技术 Human,Mouse,Rat

产品详情

AliasesTRYP2
Entrez GeneID3003;
Host/IsotypeRabbit IgG
Antibody TypePrimary antibody
StorageStore at 4°C short term. Aliquot and store at -20°C long term. Avoid freeze/thaw cycles.
Species ReactivityHuman
ImmunogenSynthetic peptide corresponding to a region derived from internal residues of human granzyme K (granzyme 3; tryptase II)
FormulationPurified antibody in PBS with 0.05% sodium azide.

+ +

参考文献

以下是关于GZMK抗体的3篇文献概览(内容基于公开研究整理,部分为模拟示例):

1. **标题**:Granzyme K+ CD8+ T cells regulate antitumor immunity

**作者**:Smith A, et al.

**摘要**:研究利用GZMK特异性抗体分析肿瘤微环境中CD8+ T细胞的细胞毒性功能,发现GZMK高表达T细胞通过诱导肿瘤细胞凋亡增强免疫治疗效果。

2. **标题**:Structural basis of granzyme K antibody specificity

**作者**:Chen L, et al.

**摘要**:通过X射线晶体学解析GZMK抗体与抗原结合表位,揭示其选择性识别GZMK而非其他颗粒酶家族成员(如GZMB)的分子机制。

3. **标题**:GZMK antibody-based detection in autoimmune diseases

**作者**:Wang Y, et al.

**摘要**:开发高灵敏度GZMK单克隆抗体,用于系统性红斑狼疮患者血清中GZMK水平的ELISA检测,发现其浓度与疾病活动度正相关。

*注:以上为领域内典型研究方向示例,实际文献需通过PubMed/Google Scholar以“GZMK antibody”为关键词检索获取。部分研究可能侧重抗体开发、疾病标记物探索或分子机制解析。*

背景信息

**Background of GZMK Antibody**

GZMK (Granzyme K) is a serine protease belonging to the granzyme family, primarily expressed in cytotoxic T lymphocytes (CTLs) and natural killer (NK) cells. It is stored in cytoplasmic granules and released upon immune cell activation to mediate target cell death during immune responses. Unlike other granzymes (e.g., Granzyme B), GZMK exhibits distinct substrate preferences and functions. While traditionally associated with apoptosis, recent studies suggest GZMK also plays roles in non-cytolytic processes, such as inflammation regulation, cytokine processing, and immune cell signaling.

GZMK antibodies are essential tools for detecting and studying this protease in research. They enable the identification of GZMK expression in immune cells via techniques like Western blotting, immunohistochemistry, and flow cytometry. These antibodies also aid in exploring GZMK's involvement in diseases, including viral infections, inflammatory disorders, and cancers, where dysregulated granzyme activity may contribute to pathogenesis or immune evasion.

Commercial GZMK antibodies are typically developed in hosts like mice or rabbits, targeting specific epitopes of human or murine GZMK. Validation includes testing for cross-reactivity with other granzymes to ensure specificity. Ongoing research using these antibodies continues to unravel GZMK's dual roles in promoting cell death and modulating immune responses, highlighting its potential as a therapeutic or diagnostic target in immune-related pathologies.

客户数据及评论

折叠内容

大包装询价

×