首页 / 产品 / 抗体 / 一抗

Rabbit Polyclonal NPR2 Antibody

  • 中文名: NPR2抗体
  • 别    名: AMDM; ANPb; NPRB; ANPRB; GUC2B; NPRBi; GUCY2B
货号: IPDX42943
Price: ¥1180
数量:
大包装询价

验证与应用

应用及物种
WB 咨询技术 Human,Mouse,Rat
IF 咨询技术 Human,Mouse,Rat
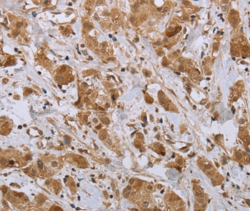
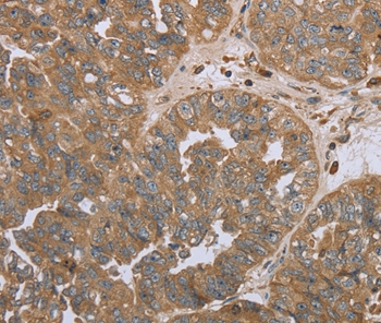
IHC 1/50-1/200 Human,Mouse,Rat
ICC 技术咨询 Human,Mouse,Rat
FCM 咨询技术 Human,Mouse,Rat
Elisa 咨询技术 Human,Mouse,Rat

产品详情

AliasesAMDM; ANPb; NPRB; ANPRB; GUC2B; NPRBi; GUCY2B
Entrez GeneID4882;
Host/IsotypeRabbit IgG
Antibody TypePrimary antibody
StorageStore at 4°C short term. Aliquot and store at -20°C long term. Avoid freeze/thaw cycles.
Species ReactivityHuman,Mouse
ImmunogenSynthetic peptide corresponding to a region derived from internal residues of human natriuretic peptide receptor 2
FormulationPurified antibody in PBS with 0.05% sodium azide.

+ +

参考文献

以下是关于NPR2抗体的3篇参考文献及其摘要概括:

1. **"Natriuretic peptide receptor B in cartilage regulates bone growth"**

- 作者:Tsuji T, Kunieda T

- 摘要:研究利用NPR2抗体检测其在软骨细胞中的表达,发现NPR2通过cGMP信号通路调控骨骼生长,并受甲状旁腺激素(PTH)等激素的调节,突变会导致骨骼发育异常。

2. **"Localization of natriuretic peptide receptor 2 in the zebrafish inner ear"**

- 作者:Burkhard S, Schindler RF, Schulz S

- 摘要:通过NPR2抗体对斑马鱼内耳组织进行免疫组化分析,揭示了NPR2在听觉和平衡功能中的关键作用,其表达缺失与先天性听力缺陷相关。

3. **"Loss of NPR2 signaling promotes prostate cancer progression"**

- 作者:Martin LJ, Melgoza FU, Zhang Y

- 摘要:研究使用NPR2抗体检测前列腺癌组织中的蛋白水平,发现NPR2表达下调与肿瘤侵袭性和转移相关,提示其可能作为抑癌因子调节细胞迁移。

4. **"Functional characterization of NPR2 mutations in short stature patients"**

- 作者:Hachiya R, Ohashi Y, Miyoshi Y

- 摘要:通过NPR2抗体分析患者成纤维细胞,发现突变导致受体磷酸化异常,影响下游cGMP通路,为矮小症提供了分子机制解释。

以上文献均利用NPR2抗体进行蛋白定位、表达分析或功能研究,涵盖骨骼发育、癌症及遗传疾病领域。

背景信息

The NPR2 (Natriuretic Peptide Receptor 2) antibody is a tool used to detect and study the NPR2 protein, a transmembrane receptor critical for regulating cardiovascular, skeletal, and endocrine functions. NPR2. also known as guanylate cyclase B (GC-B), binds C-type natriuretic peptide (CNP), activating its intracellular guanylyl cyclase domain to produce cyclic guanosine monophosphate (cGMP). This signaling pathway influences blood pressure regulation, bone growth, and cellular proliferation.

NPR2 antibodies are widely employed in research to investigate receptor expression, localization, and function in tissues like heart, cartilage, and the reproductive system. They aid in studying diseases linked to NPR2 dysfunction, such as skeletal dysplasia (e.g., acromesomelic dysplasia Maroteaux type) and cardiovascular disorders. These antibodies are validated for techniques including Western blotting, immunohistochemistry, and immunofluorescence, often using samples from humans, mice, or rats.

Commercial NPR2 antibodies may vary in clonality (monoclonal/polyclonal), epitope specificity, and host species (rabbit, mouse). Researchers prioritize antibodies with high specificity, often verified via knockout controls. Understanding NPR2’s role in CNP signaling also contributes to exploring therapeutic targets for conditions like hypertension, osteoporosis, and cancer. Its involvement in growth plate regulation makes it particularly relevant in pediatric growth disorder studies.

客户数据及评论

折叠内容

大包装询价

×