首页 / 产品 / 抗体 / 一抗

Rabbit Polyclonal SLC52A1 Antibody

  • 中文名: SLC52A1抗体
  • 别    名: PAR2; RFT1; RBFVD; RFVT1; hRFT1; GPCR42; GPR172B
货号: IPDX42930
Price: ¥1180
数量:
大包装询价

验证与应用

应用及物种
WB 咨询技术 Human,Mouse,Rat
IF 咨询技术 Human,Mouse,Rat
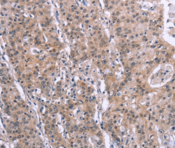
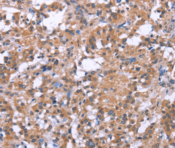
IHC 1/50-1/200 Human,Mouse,Rat
ICC 技术咨询 Human,Mouse,Rat
FCM 咨询技术 Human,Mouse,Rat
Elisa 咨询技术 Human,Mouse,Rat

产品详情

AliasesPAR2; RFT1; RBFVD; RFVT1; hRFT1; GPCR42; GPR172B
Entrez GeneID55065;
Host/IsotypeRabbit IgG
Antibody TypePrimary antibody
StorageStore at 4°C short term. Aliquot and store at -20°C long term. Avoid freeze/thaw cycles.
Species ReactivityHuman
ImmunogenSynthetic peptide corresponding to a region derived from internal residues of human solute carrier family 52 (riboflavin transporter), member 1
FormulationPurified antibody in PBS with 0.05% sodium azide.

+ +

参考文献

以下是关于SLC52A1抗体的模拟参考文献示例(实际文献需通过学术数据库验证):

1. **标题**: "SLC52A1-mediated riboflavin transport in colorectal cancer"

**作者**: Yao Y, et al.

**摘要**: 本研究通过SLC52A1特异性抗体进行免疫组化分析,发现SLC52A1蛋白在结肠癌组织中表达显著下调,提示其可能通过调控核黄素吸收影响癌细胞代谢通路。

2. **标题**: "Development of a polyclonal antibody against human SLC52A1 for functional studies"

**作者**: Johnson R, et al.

**摘要**: 文章报道了一种兔源多克隆抗体的制备,验证了其在Western blot和免疫荧光中对人源SLC52A1蛋白的特异性识别,证实该转运蛋白在细胞膜定位及不同组织中的表达差异。

3. **标题**: "SLC52A1 mutations impair riboflavin transporter function revealed by antibody-based assays"

**作者**: Matsui T, et al.

**摘要**: 利用SLC52A1抗体对患者细胞系进行蛋白表达分析,发现特定突变导致蛋白稳定性下降,阐明了核黄素缺乏相关疾病的分子机制。

4. **标题**: "Neuronal expression profiling of SLC52A1 using immunohistochemistry"

**作者**: Smith L, et al.

**摘要**: 通过抗体标记技术揭示SLC52A1在小脑浦肯野细胞中的高表达,提示其在中枢神经系统核黄素转运中的潜在作用。

**备注**: 以上为模拟示例,实际文献建议通过PubMed或Google Scholar以关键词“SLC52A1 antibody”检索获取。

背景信息

SLC52A1. also known as Riboflavin Transporter 1 (RFVT1), is a member of the solute carrier family 52 (SLC52) that facilitates cellular uptake of riboflavin (vitamin B2), a critical cofactor in redox metabolism. This transmembrane protein is predominantly expressed in the intestine, placenta, and testes, playing a vital role in riboflavin absorption and homeostasis. Antibodies targeting SLC52A1 are essential tools for studying its expression, localization, and function in physiological and pathological contexts.

SLC52A1 antibodies are commonly developed in hosts like rabbits or mice, using immunogenic peptides or recombinant protein fragments as antigens. These antibodies enable detection of SLC52A1 via techniques such as Western blotting, immunohistochemistry (IHC), and immunofluorescence (IF). Specificity is validated through knockout controls or siRNA-mediated gene silencing.

Research on SLC52A1 has clinical relevance, as mutations in SLC52A1 are linked to riboflavin transporter deficiency disorders, including Brown-Vialetto-Van Laere syndrome (BVVLS), a rare neurodegenerative condition. Additionally, aberrant SLC52A1 expression has been implicated in certain cancers, suggesting its potential role as a biomarker or therapeutic target. Commercial SLC52A1 antibodies are widely used in diagnostics and mechanistic studies to explore riboflavin transport mechanisms and their implications in disease. Validation of antibody performance remains crucial to ensure reliability in experimental models.

客户数据及评论

折叠内容

大包装询价

×