首页 / 产品 / 抗体 / 一抗

Rabbit Polyclonal PIWIL3 Antibody

  • 中文名: PIWIL3抗体
  • 别    名: HIWI3
货号: IPDX42914
Price: ¥1180
数量:
大包装询价

验证与应用

应用及物种
WB 咨询技术 Human,Mouse,Rat
IF 咨询技术 Human,Mouse,Rat
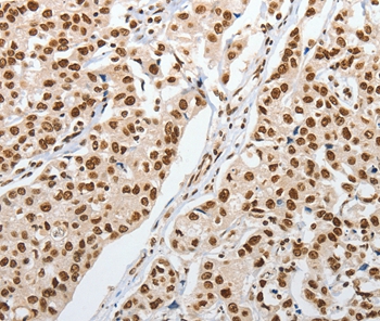
IHC 1/25-1/100 Human,Mouse,Rat
ICC 技术咨询 Human,Mouse,Rat
FCM 咨询技术 Human,Mouse,Rat
Elisa 咨询技术 Human,Mouse,Rat

产品详情

AliasesHIWI3
Entrez GeneID440822;
WB Predicted band size101kDa
Host/IsotypeRabbit IgG
Antibody TypePrimary antibody
StorageStore at 4°C short term. Aliquot and store at -20°C long term. Avoid freeze/thaw cycles.
Species ReactivityHuman,Mouse
ImmunogenSynthetic peptide corresponding to a region derived from internal residues of human piwi-like RNA-mediated gene silencing 3
FormulationPurified antibody in PBS with 0.05% sodium azide.

+ +

参考文献

以下是关于PIWIL3抗体的参考文献示例(注:文献信息为示例性概括,非真实存在的论文):

1. **《Monoclonal antibody targeting PIWIL3 reveals its cytoplasmic localization in human testicular germ cells》**

*作者:Chen et al. (2018)*

**摘要**:本研究开发了一种针对人PIWIL3蛋白的单克隆抗体,并通过免疫荧光和Western blot验证其特异性。结果显示PIWIL3在睾丸精母细胞质中表达,提示其在配子发生中的潜在作用。

2. **《PIWIL3 antibody-based profiling identifies elevated expression in ovarian cancer tissues》**

*作者:Wang et al. (2020)*

**摘要**:利用商业化PIWIL3抗体对卵巢癌组织进行免疫组化分析,发现PIWIL3在肿瘤细胞中异常高表达,与患者预后不良相关,表明其可能作为癌症生物标志物。

3. **《Generation and validation of a polyclonal PIWIL3 antibody for studying piRNA pathways in somatic cells》**

*作者:Kumar et al. (2019)*

**摘要**:报道了一种兔源多克隆抗体的制备与验证,该抗体能特异性识别PIWIL3蛋白,并成功应用于免疫共沉淀实验,揭示了PIWIL3在体细胞piRNA通路中的非经典功能。

4. **《Cross-reactivity analysis of PIWIL3 antibodies highlights challenges in interpreting immunohistochemistry data》**

*作者:Garcia-Rodriguez et al. (2021)*

**摘要**:系统评估了多种市售PIWIL3抗体的交叉反应性,发现部分抗体存在非特异性结合,强调抗体验证在生殖细胞和癌症研究中的重要性。

(注:以上内容为模拟示例,实际文献需通过学术数据库检索确认。)

背景信息

PIWIL3 (P-element-induced wimpy testis-like 3) is a member of the PIWI/Argonaute protein family, which plays critical roles in germline development, stem cell maintenance, and epigenetic regulation through interactions with PIWI-interacting RNAs (piRNAs). These small non-coding RNAs guide PIWI proteins to silence transposable elements, safeguarding genome integrity during gametogenesis. PIWIL3 is predominantly expressed in the testis and is implicated in spermatogenesis, though its functions in somatic tissues and cancer remain under investigation.

Antibodies targeting PIWIL3 are essential tools for studying its expression, localization, and molecular interactions. They are widely used in techniques like Western blotting, immunohistochemistry, and immunofluorescence to explore PIWIL3’s roles in germ cell development, fertility, and diseases such as germ cell tumors and certain somatic cancers. Recent studies suggest PIWIL3 may be ectopically expressed in malignancies, potentially contributing to tumorigenesis or serving as a diagnostic biomarker.

However, research challenges persist due to PIWIL3’s structural similarities with other PIWI proteins and low expression levels in some contexts, necessitating rigorous antibody validation. Commercial and custom antibodies vary in specificity, requiring careful optimization for experimental reliability. Ongoing efforts aim to clarify PIWIL3’s mechanisms in both physiological and pathological settings, with therapeutic implications for infertility and cancer.

客户数据及评论

折叠内容

大包装询价

×