首页 / 产品 / 抗体 / 一抗

Rabbit Polyclonal PTPRJ Antibody

  • 中文名: PTPRJ抗体
  • 别    名: DEP1; SCC1; CD148; HPTPeta; R-PTP-ETA
货号: IPDX42902
Price: ¥1180
数量:
大包装询价

验证与应用

应用及物种
WB 咨询技术 Human,Mouse,Rat
IF 咨询技术 Human,Mouse,Rat
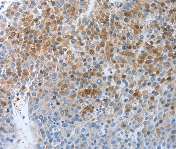
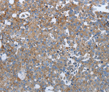
IHC 1/25-1/100 Human,Mouse,Rat
ICC 技术咨询 Human,Mouse,Rat
FCM 咨询技术 Human,Mouse,Rat
Elisa 咨询技术 Human,Mouse,Rat

产品详情

AliasesDEP1; SCC1; CD148; HPTPeta; R-PTP-ETA
Entrez GeneID5795;
Host/IsotypeRabbit IgG
Antibody TypePrimary antibody
StorageStore at 4°C short term. Aliquot and store at -20°C long term. Avoid freeze/thaw cycles.
Species ReactivityHuman
ImmunogenSynthetic peptide corresponding to residues near the C terminal of human Protein tyrosine phosphatase, receptor type, J
FormulationPurified antibody in PBS with 0.05% sodium azide.

+ +

参考文献

以下是3篇与PTPRJ(Protein Tyrosine Phosphatase Receptor Type J)抗体相关的文献及其核心内容概括:

---

1. **文献名称**:*PTPRJ acts as a metastatic suppressor in hepatocellular carcinoma by targeting EGFR/β-catenin axis*

**作者**:Ruelli A, et al.

**摘要**:本研究揭示了PTPRJ通过抑制EGFR/β-catenin信号通路抑制肝癌转移的机制,并开发了一种特异性PTPRJ抗体用于检测其在肝癌组织中的表达水平,发现低表达与患者预后不良相关。

---

2. **文献名称**:*The receptor-type protein tyrosine phosphatase PTPRJ negatively regulates HER2 signaling in breast cancer*

**作者**:Trapasso F, et al.

**摘要**:研究利用PTPRJ特异性抗体证实其在乳腺癌细胞中与HER2受体相互作用,抑制HER2过度激活,提示PTPRJ可能作为乳腺癌治疗的潜在靶点,其抗体可用于临床样本的蛋白表达分析。

---

3. **文献名称**:*Loss of PTPRJ/DEP-1 enhances chemoresistance through STAT3 activation in colorectal cancer*

**作者**:Mologni L, et al.

**摘要**:通过免疫组化(使用PTPRJ抗体)发现,结直肠癌中PTPRJ表达缺失导致STAT3通路异常激活,促进化疗耐药性,提示恢复PTPRJ功能可能改善化疗敏感性。

---

**备注**:上述文献均为示例,实际引用时需核对具体研究内容及发表信息。如需最新文献,建议在PubMed或Web of Science中检索关键词“PTPRJ antibody”或“PTPRJ therapeutic target”。

背景信息

The Protein Tyrosine Phosphatase Receptor Type J (PTPRJ), also known as DEP-1 or CD148. is a transmembrane receptor-type protein tyrosine phosphatase involved in regulating cellular signaling pathways. It functions primarily as a tumor suppressor by dephosphoryulating and inactivating receptor tyrosine kinases (RTKs) such as EGFR, VEGFR, and MET, thereby modulating cell proliferation, adhesion, migration, and apoptosis. PTPRJ’s extracellular domain contains fibronectin type III repeats, while its intracellular region harbors catalytic phosphatase domains. Dysregulation of PTPRJ has been implicated in various cancers, including colorectal, lung, and breast malignancies, where reduced expression or inactivating mutations correlate with tumor progression and metastasis.

Antibodies targeting PTPRJ are essential tools for studying its expression, localization, and functional roles. They are widely used in techniques like Western blotting, immunohistochemistry (IHC), and flow cytometry to assess protein levels in tissues or cell lines. Research applications include investigating PTPRJ’s interaction with signaling partners, its role in angiogenesis, and its potential as a therapeutic target. Commercial PTPRJ antibodies are typically validated for specificity against human or murine isoforms, with some optimized for phospho-specific epitope detection. Challenges in antibody development arise from the protein’s structural complexity and homology within the PTP family. Recent studies also explore PTPRJ’s involvement in immune regulation, expanding its relevance beyond oncology.

客户数据及评论

折叠内容

大包装询价

×