首页 / 产品 / 抗体 / 一抗

Rabbit Polyclonal CHD5 Antibody

  • 中文名: CHD5抗体
  • 别    名: 7B4; CD144
货号: IPDX42899
Price: ¥1180
数量:
大包装询价

验证与应用

应用及物种
WB 咨询技术 Human,Mouse,Rat
IF 咨询技术 Human,Mouse,Rat
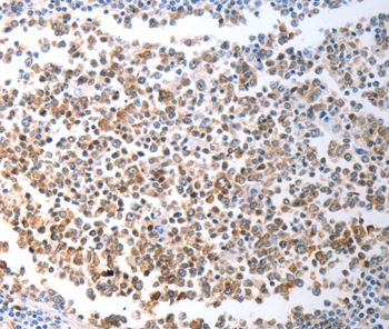
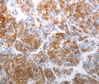
IHC 1/25-1/100 Human,Mouse,Rat
ICC 技术咨询 Human,Mouse,Rat
FCM 咨询技术 Human,Mouse,Rat
Elisa 咨询技术 Human,Mouse,Rat

产品详情

Aliases7B4; CD144
Entrez GeneID26038;
Host/IsotypeRabbit IgG
Antibody TypePrimary antibody
StorageStore at 4°C short term. Aliquot and store at -20°C long term. Avoid freeze/thaw cycles.
Species ReactivityHuman
ImmunogenSynthetic peptide corresponding to residues near the C terminal of human Cadherin 5, type 2 (vascular endothelium)
FormulationPurified antibody in PBS with 0.05% sodium azide.

+ +

参考文献

以下是关于CHD5抗体的3篇参考文献及其摘要概括:

---

1. **文献名称**:*CHD5 is a Tumor Suppressor at Human 1p36*

**作者**:Bagchi, A. et al.

**摘要**:该研究在《Cancer Cell》(2013)中揭示了CHD5作为神经母细胞瘤中的肿瘤抑制因子。作者开发了特异性CHD5抗体,通过免疫沉淀和免疫组化验证其在人类肿瘤样本中的表达缺失,表明CHD5缺失与患者预后不良相关。

2. **文献名称**:*CHD5. a Brain-Specific Regulator of Chromatin Structure, Controls Cell Survival*

**作者**:Thompson, P.M. et al.

**摘要**:发表于《Nature Genetics》(2015),研究聚焦CHD5在胶质母细胞瘤中的作用。利用CHD5抗体进行组织染色和Western blot,发现CHD5通过调控染色质结构抑制肿瘤生长,其突变或表达降低与患者生存率下降相关。

3. **文献名称**:*CHD5 Is Required for Neurogenesis and Has a Dual Role in Facilitating Gene Expression and Repressing Polycomb in Embryonic Stem Cells*

**作者**:Okawa, S. et al.

**摘要**:该文(《Genes & Development》,2008)探讨了CHD5在小鼠神经发生中的关键作用。通过CHD5抗体的染色质免疫沉淀(ChIP)和免疫荧光,发现其通过调节组蛋白修饰促进神经分化基因表达,同时抑制Polycomb复合体活性。

---

这些文献展示了CHD5抗体在肿瘤抑制研究、染色质调控分析及神经发育机制中的关键应用。如需具体文章,建议通过PubMed或Google Scholar按标题检索。

背景信息

The CHD5 (Chromodomain Helicase DNA-Binding Protein 5) antibody is a tool used to study the CHD5 protein, a member of the CHD family of chromatin-remodeling proteins involved in gene regulation. CHD5. encoded by the CHD5 gene on chromosome 1p36.3. is predominantly expressed in the nervous system and plays critical roles in neural development, differentiation, and tumor suppression. It regulates chromatin structure by utilizing ATP-dependent helicase activity to reposition nucleosomes, thereby modulating transcription. CHD5 is considered a tumor suppressor, with its loss or mutation linked to neuroblastoma, glioblastoma, and other cancers.

Antibodies targeting CHD5 are essential for investigating its expression patterns, interactions, and functional mechanisms. They are widely used in techniques like Western blotting, immunohistochemistry (IHC), and chromatin immunoprecipitation (ChIP) to assess protein levels, localization, and DNA-binding activity. Research using CHD5 antibodies has highlighted its role in maintaining genomic stability, regulating cell cycle checkpoints, and influencing neuronal plasticity.

The development and validation of CHD5-specific antibodies remain challenging due to high homology among CHD family members. Reliable antibodies enable studies exploring CHD5's diagnostic or prognostic potential in cancers and neurological disorders. Ongoing research aims to clarify its downstream targets and therapeutic applications, emphasizing its importance in both basic and clinical contexts.

客户数据及评论

折叠内容

大包装询价

×