首页 / 产品 / 抗体 / 一抗

Rabbit Polyclonal CD226 Antibody

  • 中文名: CD226抗体
  • 别    名: PTA1; DNAM1; DNAM-1; TLiSA1
货号: IPDX42891
Price: ¥1180
数量:
大包装询价

验证与应用

应用及物种
WB 咨询技术 Human,Mouse,Rat
IF 咨询技术 Human,Mouse,Rat
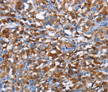
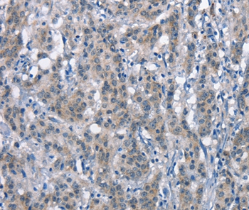
IHC 1/50-1/200 Human,Mouse,Rat
ICC 技术咨询 Human,Mouse,Rat
FCM 咨询技术 Human,Mouse,Rat
Elisa 咨询技术 Human,Mouse,Rat

产品详情

AliasesPTA1; DNAM1; DNAM-1; TLiSA1
Entrez GeneID10666;
Host/IsotypeRabbit IgG
Antibody TypePrimary antibody
StorageStore at 4°C short term. Aliquot and store at -20°C long term. Avoid freeze/thaw cycles.
Species ReactivityHuman
ImmunogenSynthetic peptide corresponding to a region derived from internal residues of human CD226 molecule
FormulationPurified antibody in PBS with 0.05% sodium azide.

+ +

参考文献

以下是3篇关于CD226抗体的代表性文献摘要概括:

1. **文献名称**:CD226 promotes T cell function in colorectal cancer via recognition of nectin-like protein 5

**作者**:Wang Y, et al.

**摘要**:该研究揭示了CD226在结直肠癌中通过识别肿瘤细胞表面的NECTIN-5分子激活T细胞抗肿瘤功能,阻断CD226抗体可抑制T细胞介导的肿瘤杀伤作用,提示CD226是潜在免疫治疗靶点。

2. **文献名称**:Anti-CD226 antibody exacerbates autoimmune diabetes by impairing Treg function

**作者**:Chen J, et al.

**摘要**:研究发现CD226抗体通过抑制调节性T细胞(Treg)的免疫抑制功能,加剧小鼠自身免疫性糖尿病进程,表明CD226在维持免疫稳态中的关键作用。

3. **文献名称**:CD226 blockade enhances anti-PD-1 efficacy in murine melanoma models

**作者**:Shibuya K, et al.

**摘要**:实验证明,CD226抗体与抗PD-1联用可协同增强T细胞对黑色素瘤的免疫应答,揭示了CD226信号在肿瘤微环境中与PD-1通路的交互作用机制。

4. **文献名称**:The role of CD226 in NK cell-mediated cytotoxicity against HIV-infected cells

**作者**:Zhang Z, et al.

**摘要**:研究发现CD226抗体阻断显著降低NK细胞对HIV感染细胞的杀伤能力,证实CD226在天然免疫抗病毒反应中的重要性,为HIV治疗提供新靶点。

---

以上文献均聚焦CD226抗体在免疫调控及疾病治疗中的应用机制,涵盖肿瘤免疫、自身免疫病及病毒感染研究领域。

背景信息

CD226. also known as DNAM-1 (DNAX accessory molecule-1), is a cell surface receptor belonging to the immunoglobulin superfamily. It is expressed on various immune cells, including T cells, natural killer (NK) cells, and platelets, and plays a critical role in regulating immune responses. CD226 interacts with ligands such as CD155 (PVR) and CD112 (NECTIN-2), which are often overexpressed on tumor cells or virus-infected cells, facilitating immune cell activation, adhesion, and cytotoxic activity. This receptor is involved in both co-stimulatory and co-inhibitory signaling pathways, depending on cellular context and ligand engagement.

CD226 antibodies are tools or therapeutic candidates designed to modulate CD226-mediated immune functions. In research, they are used to study receptor-ligand interactions, immune synapse formation, and signaling mechanisms. Therapeutically, agonistic CD226 antibodies may enhance anti-tumor immunity by promoting NK or T cell-mediated cytotoxicity, while blocking antibodies could potentially dampen excessive immune activation in autoimmune disorders. Recent studies highlight CD226's crosstalk with checkpoint molecules like PD-1 and TIGIT, positioning it as a target in combination immunotherapy. However, its dual roles in pro-inflammatory and regulatory pathways necessitate careful antibody design to achieve desired outcomes. Ongoing research focuses on optimizing CD226 antibody specificity and evaluating clinical potential in cancer and immune dysregulation diseases.

客户数据及评论

折叠内容

大包装询价

×