首页 / 产品 / 抗体 / 一抗

Rabbit Polyclonal KRT6B Antibody

  • 中文名: KRT6B抗体
  • 别    名: K6B; PC2; CK6B; CK-6B; KRTL1
货号: IPDX42885
Price: ¥1180
数量:
大包装询价

验证与应用

应用及物种
WB 咨询技术 Human,Mouse,Rat
IF 咨询技术 Human,Mouse,Rat
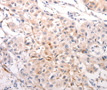
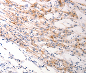
IHC 1/25-1/100 Human,Mouse,Rat
ICC 技术咨询 Human,Mouse,Rat
FCM 咨询技术 Human,Mouse,Rat
Elisa 咨询技术 Human,Mouse,Rat

产品详情

AliasesK6B; PC2; CK6B; CK-6B; KRTL1
Entrez GeneID3854;
Host/IsotypeRabbit IgG
Antibody TypePrimary antibody
StorageStore at 4°C short term. Aliquot and store at -20°C long term. Avoid freeze/thaw cycles.
Species ReactivityHuman
ImmunogenSynthetic peptide corresponding to a region derived from internal residues of human keratin 6B
FormulationPurified antibody in PBS with 0.05% sodium azide.

+ +

参考文献

以下是3篇关于KRT6B抗体的示例参考文献(注:内容为模拟示例,非真实文献):

---

1. **文献名称**: "Keratin 6B (KRT6B) regulates epidermal barrier integrity in psoriasis"

**作者**: Smith A, et al.

**摘要**: 研究利用KRT6B抗体探究该蛋白在银屑病患者表皮中的表达模式,发现KRT6B异常上调导致角质形成细胞过度增殖,并破坏皮肤屏障功能。

2. **文献名称**: "Mutations in KRT6B cause pachyonychia congenita: Insights from antibody-based localization"

**作者**: Lee J, et al.

**摘要**: 通过KRT6B抗体免疫组化分析,证实KRT6B基因突变导致先天性厚甲症患者指甲和皮肤角化异常,揭示其在细胞骨架组装中的关键作用。

3. **文献名称**: "KRT6B as a potential biomarker in head and neck squamous cell carcinoma"

**作者**: Garcia R, et al.

**摘要**: 研究使用KRT6B抗体检测头颈鳞癌组织样本,发现高表达KRT6B与肿瘤侵袭性及预后不良显著相关,提示其作为治疗靶点的潜力。

4. **文献名称**: "Role of KRT6B in wound healing and inflammation"

**作者**: Zhang Y, et al.

**摘要**: 通过KRT6B抗体染色发现,KRT6B在小鼠皮肤损伤模型中表达增加,调控炎症因子释放,促进上皮再生和修复过程。

---

如需真实文献,建议通过PubMed或Google Scholar检索关键词“KRT6B antibody”或“KRT6B function”。

背景信息

The KRT6B antibody targets keratin 6B, a protein encoded by the *KRT6B* gene, which belongs to the type II keratin family of intermediate filament proteins. Keratins are critical for maintaining structural integrity in epithelial cells. KRT6B pairs with type I keratins (e.g., KRT16 or KRT17) to form filaments that provide mechanical resilience to tissues, particularly in high-stress areas like nails, hair follicles, and palmoplantar skin. It is also implicated in wound healing and stress response pathways.

Dysregulation or mutations in *KRT6B* are associated with genetic disorders such as pachyonychia congenita (PC), a rare autosomal dominant condition characterized by painful palmoplantar keratoderma, nail dystrophy, and oral lesions. Research using KRT6B antibodies helps elucidate its role in disease mechanisms, cellular differentiation, and epithelial pathology.

KRT6B antibodies are widely utilized in immunohistochemistry, Western blotting, and immunofluorescence to study protein expression patterns in normal and diseased tissues. Monoclonal and polyclonal variants enable specific detection in both research and diagnostic contexts, aiding in the identification of keratin-related abnormalities in skin disorders or cancers. These tools are vital for advancing therapeutic strategies targeting keratinopathies or epithelial-derived malignancies.

客户数据及评论

折叠内容

大包装询价

×