首页 / 产品 / 抗体 / 一抗

Rabbit Polyclonal CD177 Antibody

  • 中文名: CD177抗体
  • 别    名: NB1; PRV1; HNA2A; PRV-1; HNA-2a; NB1 GP
货号: IPDX42817
Price: ¥1180
数量:
大包装询价

验证与应用

应用及物种
WB 咨询技术 Human,Mouse,Rat
IF 咨询技术 Human,Mouse,Rat
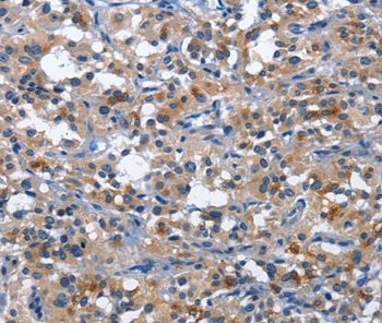
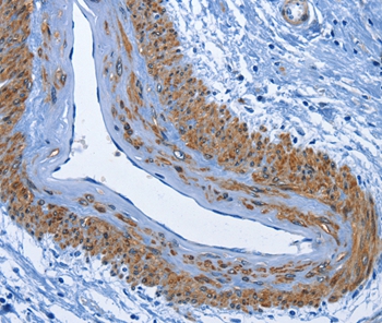
IHC 1/25-1/100 Human,Mouse,Rat
ICC 技术咨询 Human,Mouse,Rat
FCM 咨询技术 Human,Mouse,Rat
Elisa 咨询技术 Human,Mouse,Rat

产品详情

AliasesNB1; PRV1; HNA2A; PRV-1; HNA-2a; NB1 GP
Entrez GeneID57126;
Host/IsotypeRabbit IgG
Antibody TypePrimary antibody
StorageStore at 4°C short term. Aliquot and store at -20°C long term. Avoid freeze/thaw cycles.
Species ReactivityHuman
ImmunogenFusion protein corresponding to a region derived from internal residues of human CD177 molecule
FormulationPurified antibody in PBS with 0.05% sodium azide.

+ +

参考文献

以下是关于CD177抗体的3-4篇参考文献及其摘要内容:

1. **文献名称**:*CD177. a neutrophil-specific receptor for platelet endothelial cell adhesion molecule-1: cloning and functional characterization*

**作者**:Kissel T 等

**摘要**:该研究首次克隆并鉴定了CD177(原HNA-2a抗原)的基因和蛋白结构,揭示其在中性粒细胞表面特异性表达,并参与调控中性粒细胞与内皮细胞的黏附及抗体依赖性细胞反应。

2. **文献名称**:*CD177+ neutrophils are associated with the pathogenesis of myeloperoxidase anti-neutrophil cytoplasmic antibody vasculitis*

**作者**:Xia L 等

**摘要**:文章探讨了CD177阳性中性粒细胞在抗中性粒细胞胞浆抗体(ANCA)相关血管炎中的作用,发现CD177高表达的中性粒细胞更易被ANCA激活,导致胞外陷阱(NETs)释放和血管炎症加剧。

3. **文献名称**:*CD177 expression in colorectal cancer: a prognostic marker linked to immune infiltration*

**作者**:Bai M 等

**摘要**:研究分析了结直肠癌中CD177的表达与肿瘤微环境的关系,发现CD177阳性细胞与抗肿瘤免疫细胞(如CD8+ T细胞)浸润相关,可能作为预测患者预后的生物标志物。

4. **文献名称**:*Anti-CD177 monoclonal antibodies induce neutrophil activation via Fcγ receptor IIIb*

**作者**:Huang Y 等

**摘要**:该研究揭示了抗CD177单克隆抗体通过结合Fcγ受体IIIb(FcγRIIIb)触发中性粒细胞活化,为抗体治疗相关副作用(如输血反应)的机制提供了新见解。

以上文献涵盖了CD177的基础功能、疾病机制及临床关联研究。

背景信息

CD177. also known as HNA-2a or NB1 glycoprotein, is a glycosylphosphatidylinositol (GPI)-anchored glycoprotein predominantly expressed on the surface of neutrophils. It plays a role in neutrophil migration and activation, particularly in inflammatory responses. CD177 interacts with platelet endothelial cell adhesion molecule-1 (PECAM-1/CD31), facilitating neutrophil transendothelial migration. Approximately 3-5% of healthy individuals exhibit CD177 deficiency, which has been linked to autoimmune conditions like ANCA-associated vasculitis.

CD177 antibodies are critical tools in research and diagnostics. Monoclonal antibodies targeting CD177 are widely used to identify CD177+ neutrophils via flow cytometry or immunohistochemistry, aiding in studies of neutrophil heterogeneity. Clinically, CD177 antibodies help diagnose paroxysmal nocturnal hemoglobinuria (PNH), as CD177 expression loss correlates with GPI-anchor deficiencies. They also assist in investigating autoimmune diseases, as anti-CD177 autoantibodies may contribute to neutropenia or vascular inflammation.

Recent studies highlight CD177's role in tumor microenvironments, where it may influence cancer progression by modulating neutrophil-tumor interactions. Therapeutic applications, such as antibody-drug conjugates targeting CD177+ cells, are under exploration. However, variability in CD177 expression across populations and its unclear signaling mechanisms warrant further research. Overall, CD177 antibodies remain pivotal in unraveling neutrophil biology and developing targeted therapies.

客户数据及评论

折叠内容

大包装询价

×