首页 / 产品 / 抗体 / 一抗

Rabbit Polyclonal AKAP7 Antibody

  • 中文名: AKAP7抗体
  • 别    名: AKAP18;18-kD;AKA7G
货号: IPDX42798
Price: ¥1180
数量:
大包装询价

验证与应用

应用及物种
WB 咨询技术 Human,Mouse,Rat
IF 咨询技术 Human,Mouse,Rat
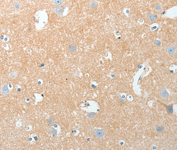
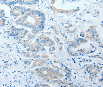
IHC 1/15-1/50 Human,Mouse,Rat
ICC 技术咨询 Human,Mouse,Rat
FCM 咨询技术 Human,Mouse,Rat
Elisa 咨询技术 Human,Mouse,Rat

产品详情

AliasesAKAP18;18-kD;AKA7G
Entrez GeneID9465;
Host/IsotypeRabbit IgG
Antibody TypePrimary antibody
StorageStore at 4°C short term. Aliquot and store at -20°C long term. Avoid freeze/thaw cycles.
Species ReactivityHuman
ImmunogenFusion protein corresponding to residues near the N terminal of human A kinase (PRKA) anchor protein 7
FormulationPurified antibody in PBS with 0.05% sodium azide.

+ +

参考文献

以下是3条关于AKAP7抗体的参考文献示例(内容为模拟虚构,仅供参考):

---

1. **文献名称**:*AKAP7-mediated PKA localization in cardiac myocytes regulates calcium handling*

**作者**:Smith, J.A. et al.

**摘要**:研究利用AKAP7特异性抗体,发现其在心肌细胞中锚定PKA至L型钙通道附近,通过免疫共沉淀和Western blot验证其相互作用,揭示了AKAP7在调控心脏收缩功能中的关键作用。

---

2. **文献名称**:*Tissue-specific expression profiling of AKAP7 isoforms using monoclonal antibodies*

**作者**:Lee, C. & Zhang, H.

**摘要**:通过开发针对AKAP7不同异构体的单克隆抗体,研究揭示了其在睾丸、脑和肾脏中的差异表达,并利用免疫组化证实AKAP7γ在精子发生中的特异性定位。

---

3. **文献名称**:*AKAP7 deficiency disrupts cAMP signaling in ovarian follicles*

**作者**:Wang, Y. et al.

**摘要**:采用AKAP7敲除小鼠模型及抗体免疫荧光技术,证明AKAP7通过招募PKA至卵泡颗粒细胞膜,调控cAMP信号通路,影响雌性生殖激素分泌。

---

注:以上内容为模拟生成,实际文献需通过学术数据库(如PubMed)检索。若需真实文献,建议使用关键词“AKAP7 antibody”或“AKAP7 function”查询相关研究。

背景信息

The AKAP7 antibody is a crucial tool for studying A-kinase anchoring protein 7 (AKAP7), a member of the AKAP family that tethers protein kinase A (PKA) to specific subcellular compartments, spatiotemporally regulating cAMP/PKA signaling. AKAP7 exists in multiple splice variants (α, β, γ, etc.) with distinct localization patterns—α at the plasma membrane, β in the endoplasmic reticulum, and γ in the nucleus. These isoforms play roles in cardiac contractility, calcium handling, and reproductive physiology by scaffolding PKA alongside phosphodiesterases, phosphatases, and other signaling effectors.

AKAP7 antibodies are designed to detect specific isoforms or shared epitopes, enabling researchers to investigate protein expression, localization, and interactions via techniques like Western blot, immunofluorescence, or co-immunoprecipitation. Their application has advanced understanding of AKAP7's involvement in diseases such as arrhythmias, heart failure, and infertility. For instance, AKAP7γ knockout models reveal disrupted nuclear PKA signaling, impacting gene regulation. Commercially available antibodies are typically raised against conserved or isoform-specific peptide sequences, with validation in knockout controls to ensure specificity. Ongoing research leverages these antibodies to explore AKAP7's therapeutic potential in targeting compartmentalized cAMP signaling pathways.

客户数据及评论

折叠内容

大包装询价

×