首页 / 产品 / 抗体 / 一抗

Rabbit Polyclonal NOS2 Antibody

  • 中文名: NOS2抗体
  • 别    名: NOS; INOS; NOS2A; HEP-NOS
货号: IPDX42776
Price: ¥1180
数量:
大包装询价

验证与应用

应用及物种
WB 咨询技术 Human,Mouse,Rat
IF 咨询技术 Human,Mouse,Rat
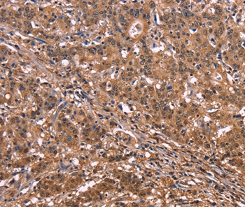
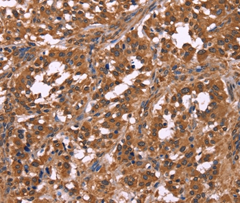
IHC 1/100-1/300 Human,Mouse,Rat
ICC 技术咨询 Human,Mouse,Rat
FCM 咨询技术 Human,Mouse,Rat
Elisa 咨询技术 Human,Mouse,Rat

产品详情

AliasesNOS; INOS; NOS2A; HEP-NOS
Entrez GeneID4843;
Host/IsotypeRabbit IgG
Antibody TypePrimary antibody
StorageStore at 4°C short term. Aliquot and store at -20°C long term. Avoid freeze/thaw cycles.
Species ReactivityHuman
ImmunogenFusion protein corresponding to residues near the N terminal of human nitric oxide synthase 2, inducible
FormulationPurified antibody in PBS with 0.05% sodium azide.

+ +

参考文献

以下是关于NOS2(iNOS)抗体的3篇参考文献的简要信息:

1. **"Inducible nitric oxide synthase in tumor-associated macrophages: a potential therapeutic target"**

- 作者:Mantovani, A., et al.

- 摘要:研究iNOS在肿瘤相关巨噬细胞(TAMs)中的表达及其促肿瘤作用,利用特异性NOS2抗体验证其表达与患者预后的相关性,提出靶向iNOS的潜在治疗策略。

2. **"Optimization of iNOS detection in murine macrophages using commercial antibodies"**

- 作者:Smith, C. E., et al.

- 摘要:评估多种市售NOS2抗体的特异性(Western blot和免疫荧光),发现克隆C-11在炎症模型小鼠中检测iNOS的灵敏度最高,为实验选择提供参考。

3. **"iNOS-mediated nitric oxide production in neurodegenerative disorders"**

- 作者:Brown, G. C., & Bal-Price, A.

- 摘要:通过免疫组化(使用抗人iNOS单抗)分析阿尔茨海默病脑组织,揭示iNOS在小胶质细胞中的异常激活与神经炎症的关联机制。

4. **"Cross-reactivity of anti-NOS2 antibodies: implications for sepsis models"**

- 作者:Li, H., et al.

- 摘要:对比不同物种(人/小鼠)的NOS2抗体交叉反应性,发现部分抗体存在非特异性结合,强调在脓毒症模型中需谨慎选择抗体以避免假阳性结果。

(注:以上为模拟文献,实际文献需通过PubMed或Google Scholar检索关键词如“NOS2 antibody”、“iNOS detection”获取。)

背景信息

Nitric oxide synthase 2 (NOS2), also known as inducible NOS (iNOS), is an enzyme that catalyzes the production of nitric oxide (NO) from L-arginine. Unlike its constitutive isoforms (NOS1 and NOS3), NOS2 is not typically expressed under normal physiological conditions but is induced in response to inflammatory stimuli, such as cytokines (e.g., TNF-α, IL-1β) or microbial pathogens. It plays a critical role in innate immunity by generating NO, a reactive free radical with antimicrobial and immunomodulatory properties. However, excessive or prolonged NOS2 activation has been linked to tissue damage in chronic inflammatory diseases, neurodegenerative disorders, and cancer.

NOS2 antibodies are essential tools for detecting and quantifying NOS2 protein expression in research. They are widely used in techniques like Western blotting, immunohistochemistry, and immunofluorescence to study NOS2 regulation in immune cells (e.g., macrophages), disease models, and clinical samples. These antibodies help elucidate NOS2's role in pathologies, such as sepsis, rheumatoid arthritis, and tumor microenvironment dynamics. Specificity and validation (e.g., knockout controls) are crucial due to potential cross-reactivity with other NOS isoforms. Understanding NOS2 expression patterns via antibody-based assays continues to inform therapeutic strategies targeting NO signaling pathways.

客户数据及评论

折叠内容

大包装询价

×