首页 / 产品 / 抗体 / 一抗

Rabbit Polyclonal IL13RA2 Antibody

  • 中文名: IL13RA2抗体
  • 别    名: CT19; IL-13R; IL13BP; CD213A2
货号: IPDX42754
Price: ¥1180
数量:
大包装询价

验证与应用

应用及物种
WB 咨询技术 Human,Mouse,Rat
IF 咨询技术 Human,Mouse,Rat
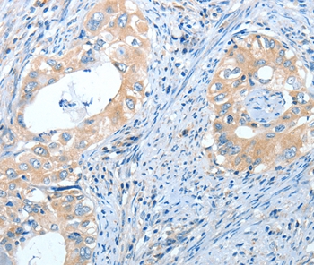
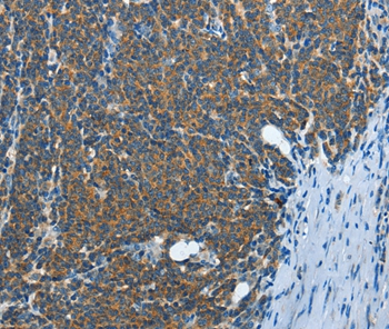
IHC 1/15-1/50 Human,Mouse,Rat
ICC 技术咨询 Human,Mouse,Rat
FCM 咨询技术 Human,Mouse,Rat
Elisa 咨询技术 Human,Mouse,Rat

产品详情

AliasesCT19; IL-13R; IL13BP; CD213A2
Entrez GeneID3598;
Host/IsotypeRabbit IgG
Antibody TypePrimary antibody
StorageStore at 4°C short term. Aliquot and store at -20°C long term. Avoid freeze/thaw cycles.
Species ReactivityHuman
ImmunogenFusion protein corresponding to a region derived from internal residues of human interleukin 13 receptor, alpha 2
FormulationPurified antibody in PBS with 0.05% sodium azide.

+ +

参考文献

以下是关于IL13RA2抗体的3篇代表性文献及其摘要概括:

1. **文献名称**: *Targeting IL-13Rα2 in cancer with a novel recombinant immunotoxin*

**作者**: Pastan, I., et al.

**摘要**: 该研究开发了一种靶向IL13RA2的重组免疫毒素(IL13-PE38),通过体外和体内实验证明其能特异性结合IL13RA2高表达的肿瘤细胞,并诱导细胞凋亡,为实体瘤治疗提供了新策略。

2. **文献名称**: *Interleukin-13 receptor α2 is a novel therapeutic target for glioblastoma*

**作者**: Jarboe, J.S., et al.

**摘要**: 研究揭示了IL13RA2在胶质母细胞瘤中的过表达及其促癌作用,并验证了抗IL13RA2抗体可通过阻断下游STAT3信号通路抑制肿瘤生长,支持其作为脑肿瘤治疗靶点。

3. **文献名称**: *CAR T cells targeting IL13Rα2 reduce tumor burden in murine glioma models*

**作者**: Brown, C.E., et al.

**摘要**: 该研究构建了靶向IL13RA2的CAR-T细胞,在胶质瘤小鼠模型中显著降低肿瘤负荷并延长生存期,证实了IL13RA2抗体在免疫细胞疗法中的应用潜力。

4. **文献名称**: *IL13RA2 regulates the JAK/STAT pathway to promote invasion and metastasis in colorectal cancer*

**作者**: Fujisawa, T., et al.

**摘要**: 研究发现IL13RA2通过激活JAK/STAT通路促进结直肠癌侵袭转移,抗IL13RA2抗体可阻断该通路并抑制肿瘤转移,为晚期肠癌提供了治疗方向。

这些文献涵盖了IL13RA2抗体在靶向治疗、免疫疗法及机制研究中的关键进展。

背景信息

IL13RA2 (Interleukin-13 Receptor Subunit Alpha 2) is a high-affinity receptor for interleukin-13 (IL-13), a cytokine involved in Th2-mediated immune responses, allergic inflammation, and tissue fibrosis. Unlike its homolog IL13RA1. which forms a functional receptor complex with IL4RA to mediate IL-13 signaling, IL13RA2 lacks intracellular signaling domains and is traditionally viewed as a decoy receptor that modulates IL-13 activity. However, emerging studies suggest it may also participate in alternative signaling pathways, potentially contributing to cancer progression, fibrosis, and inflammatory diseases.

IL13RA2 is overexpressed in several solid tumors, including glioblastoma, pancreatic cancer, and colorectal carcinoma, making it a promising therapeutic target. Its tumor-specific expression and limited presence in normal tissues enhance its appeal for targeted therapies. Antibodies targeting IL13RA2 have been developed for both diagnostic and therapeutic purposes. For example, immunotoxins like IL13-PE38 (e.g., Cintredekin Besudotox) conjugate IL13-derived ligands or antibodies to cytotoxic agents, enabling tumor-specific cell death.

In glioblastoma, IL13RA2-targeting CAR-T cells and bispecific antibodies have shown preclinical efficacy. Beyond oncology, IL13RA2 antibodies are explored for inflammatory conditions, such as asthma and fibrosis, by blocking IL-13 pathways. Challenges remain in optimizing binding specificity, overcoming tumor heterogeneity, and minimizing off-target effects. Ongoing research aims to refine antibody design, improve delivery systems, and expand clinical applications, positioning IL13RA2 as a versatile target in precision medicine.

客户数据及评论

折叠内容

大包装询价

×