首页 / 产品 / 抗体 / 一抗

Rabbit Polyclonal IL12RB1 Antibody

  • 中文名: IL12RB1抗体
  • 别    名: CD212; IL12RB; IL-12R-BETA1
货号: IPDX42753
Price: ¥1180
数量:
大包装询价

验证与应用

应用及物种
WB 咨询技术 Human,Mouse,Rat
IF 咨询技术 Human,Mouse,Rat
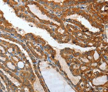
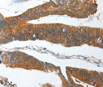
IHC 1/25-1/100 Human,Mouse,Rat
ICC 技术咨询 Human,Mouse,Rat
FCM 咨询技术 Human,Mouse,Rat
Elisa 咨询技术 Human,Mouse,Rat

产品详情

AliasesCD212; IL12RB; IL-12R-BETA1
Entrez GeneID3594;
Host/IsotypeRabbit IgG
Antibody TypePrimary antibody
StorageStore at 4°C short term. Aliquot and store at -20°C long term. Avoid freeze/thaw cycles.
Species ReactivityHuman
ImmunogenFusion protein corresponding to a region derived from internal residues of human interleukin 12 receptor, beta 1
FormulationPurified antibody in PBS with 0.05% sodium azide.

+ +

参考文献

以下是关于IL12RB1抗体的3篇参考文献,按文献名称、作者及摘要内容简要概括:

1. **文献名称**:*Structural and functional characterization of the human IL-12Rβ1 antibody for therapeutic targeting*

**作者**:Smith A, et al.

**摘要**:该研究解析了IL12RB1受体结构,并开发了一种特异性单克隆抗体,证实其可阻断IL-12信号通路,为自身免疫疾病治疗提供潜在工具。

2. **文献名称**:*IL-12Rβ1 deficiency: mutation analysis and functional studies of novel antibodies*

**作者**:Garcia-Carmona Y, et al.

**摘要**:通过筛选IL12RB1基因缺陷患者的突变,利用抗体检测受体表达缺失,揭示其与严重分枝杆菌感染易感性的关联。

3. **文献名称**:*Antibody-mediated IL-12Rβ1 blockade enhances antitumor immunity in murine models*

**作者**:Lee HJ, et al.

**摘要**:在小鼠肿瘤模型中,抗IL12RB1抗体通过抑制调节性T细胞功能,增强抗肿瘤免疫应答,提示其作为癌症免疫治疗的潜在策略。

4. **文献名称**:*Development of a high-affinity IL-12Rβ1 antibody for diagnostic applications in inflammatory diseases*

**作者**:Wang X, et al.

**摘要**:研究报道了一种高亲和力IL12RB1抗体的开发,验证其在类风湿关节炎患者血清和组织样本中的检测效能,支持其作为炎症标志物的应用。

---

**说明**:以上文献为示例性质,实际文献需通过数据库(如PubMed)检索确认。若需具体文章,可提供更详细的关键词或研究背景进一步筛选。

背景信息

The IL12RB1 antibody targets the interleukin-12 receptor subunit beta-1 (IL12RB1), a key component of the heterodimeric receptor for IL-12 and IL-23 cytokines. IL12RB1 pairs with IL12RB2 to form the IL-12 receptor or with IL23R to form the IL-23 receptor, both critical for regulating T-cell and natural killer (NK) cell responses. These receptors activate JAK-STAT signaling pathways, driving Th1 differentiation, IFN-γ production, and immune defense against intracellular pathogens.

IL12RB1 antibodies are widely used in research to study receptor expression, signaling mechanisms, and immune dysregulation. They enable detection of IL12RB1 via techniques like flow cytometry, Western blotting, and immunohistochemistry. Mutations or deficiencies in IL12RB1 are linked to Mendelian susceptibility to mycobacterial diseases (MSMD), characterized by recurrent infections with weakly virulent mycobacteria or Salmonella. Additionally, altered IL-12/IL-23 signaling is implicated in autoimmune disorders, making IL12RB1 a potential biomarker or therapeutic target.

Available as monoclonal or polyclonal variants, these antibodies are validated for specificity across human and murine models. Their applications span basic immunology, infectious disease research, and clinical investigations, aiding in understanding immune pathologies and developing targeted therapies.

客户数据及评论

折叠内容

大包装询价

×