首页 / 产品 / 抗体 / 一抗

Rabbit Polyclonal NEFL Antibody

  • 中文名: NEFL抗体
  • 别    名: NFL; NF-L; NF68; CMT1F; CMT2E
货号: IPDX42745
Price: ¥1180
数量:
大包装询价

验证与应用

应用及物种
WB 咨询技术 Human,Mouse,Rat
IF 咨询技术 Human,Mouse,Rat
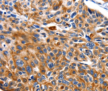
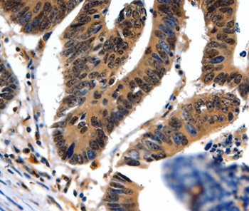
IHC 1/25-1/100 Human,Mouse,Rat
ICC 技术咨询 Human,Mouse,Rat
FCM 咨询技术 Human,Mouse,Rat
Elisa 咨询技术 Human,Mouse,Rat

产品详情

AliasesNFL; NF-L; NF68; CMT1F; CMT2E
Entrez GeneID4747;
Host/IsotypeRabbit IgG
Antibody TypePrimary antibody
StorageStore at 4°C short term. Aliquot and store at -20°C long term. Avoid freeze/thaw cycles.
Species ReactivityHuman
ImmunogenFusion protein corresponding to a region derived from internal residues of human neurofilament, light polypeptide
FormulationPurified antibody in PBS with 0.05% sodium azide.

+ +

参考文献

以下是关于NEFL抗体的3篇参考文献的简要总结:

1. **《Autoantibodies to neurofilament light chain in chronic inflammatory demyelinating polyneuropathy》**

- 作者:Van den Bergh PYK等

- 摘要:研究探讨慢性炎性脱髓鞘性多发性神经病(CIDP)患者中NEFL抗体的存在及其临床意义,发现部分患者血清中存在NEFL抗体,可能与神经损伤标志物相关,提示其潜在病理作用。

2. **《Neurofilament antibodies in multiple sclerosis: markers of axonal damage?》**

- 作者:Khalil M等

- 摘要:分析多发性硬化症(MS)患者中针对神经丝蛋白(包括NEFL)的自身抗体,发现其水平与脑脊液中的神经丝轻链(NfL)浓度升高相关,可能反映轴突损伤的免疫反应。

3. **《Anti-neurofilament antibodies in Guillain-Barré syndrome: correlation with clinical subtypes》**

- 作者:Devaux JJ等

- 摘要:研究格林-巴利综合征(GBS)患者中NEFL抗体的分布,发现不同临床亚型(如轴突型与脱髓鞘型)患者抗体阳性率差异,提示NEFL抗体可能参与特定亚型的病理机制。

注:以上为示例性内容,实际文献需通过PubMed或学术数据库检索确认。建议使用关键词“NEFL antibodies”或“neurofilament autoantibodies”进一步查阅最新研究。

背景信息

Neurofilament light chain (NEFL) antibody is a critical tool in neuroscience research and clinical diagnostics, targeting the NEFL protein, a major component of neuronal cytoskeletons. Neurofilaments, comprising light (NEFL), medium (NEFM), and heavy (NEFH) chains, are type IV intermediate filaments essential for maintaining axonal structural integrity and facilitating intracellular transport. NEFL, the smallest subunit, plays a pivotal role in regulating neurofilament assembly and axonal caliber. Its expression is predominantly observed in mature neurons, particularly within axons.

In pathological contexts, NEFL is released into extracellular fluids (e.g., cerebrospinal fluid, blood) following neuronal damage or degeneration, making it a sensitive biomarker for neurodegenerative diseases like Alzheimer’s, Parkinson’s, amyotrophic lateral sclerosis (ALS), and multiple sclerosis. NEFL antibodies enable quantitative detection of these protein fragments, aiding disease monitoring and therapeutic evaluation. Commercially available antibodies are typically developed using recombinant NEFL proteins or synthetic peptides, validated for applications such as Western blotting, immunohistochemistry, and ELISA.

Recent advancements highlight NEFL's potential in assessing traumatic brain injury, chemotherapy-induced neurotoxicity, and neuroinflammation. However, standardization of assays and interpretation of NEFL levels across diverse conditions remain challenges. Research continues to explore its prognostic value and mechanisms underlying its release, reinforcing NEFL antibodies as indispensable in both translational neuroscience and precision medicine.

客户数据及评论

折叠内容

大包装询价

×