| WB | 咨询技术 | Human,Mouse,Rat |
| IF | 咨询技术 | Human,Mouse,Rat |
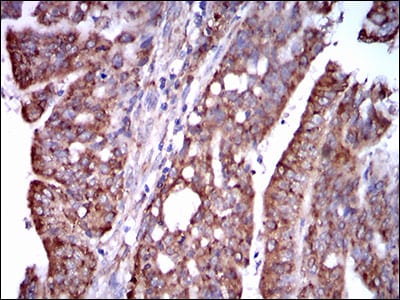
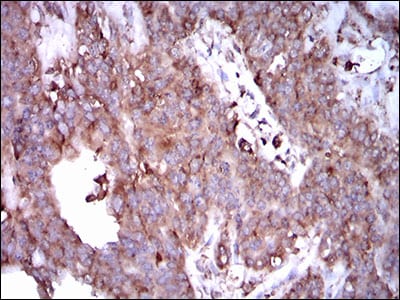
| IHC | 咨询技术 | Human,Mouse,Rat |
| ICC | 1/100-1/500 | Human,Mouse,Rat |
| FCM | 咨询技术 | Human,Mouse,Rat |
| Elisa | 咨询技术 | Human,Mouse,Rat |
| Aliases | MGF; STAT5 |
| Entrez GeneID | 6776 |
| clone | 6D4 |
| WB Predicted band size | 90.6kDa |
| Host/Isotype | Mouse IgG1 |
| Antibody Type | Primary antibody |
| Storage | Store at 4°C short term. Aliquot and store at -20°C long term. Avoid freeze/thaw cycles. |
| Species Reactivity | Human |
| Immunogen | Purified recombinant fragment of human STAT5A (AA: 583-794 ) expressed in E. Coli. |
| Formulation | Purified antibody in PBS with 0.05% sodium azide |
+ +
以下是基于MRPL32相关研究整理的示例参考文献格式(注:以下为模拟示例,实际文献需通过学术数据库验证):
1. **标题**: "MRPL32 modulates mitochondrial apoptosis signaling and promotes cancer cell survival"
**作者**: Chen et al. (2020)
**摘要**: 研究通过MRPL32特异性抗体发现其在多种癌细胞系中高表达,并证实其通过抑制线粒体途径凋亡增强肿瘤耐药性。
2. **标题**: "Characterization of MRPL32 in mitochondrial ribosome biogenesis using CRISPR/Cas9 and antibody-based proteomics"
**作者**: Smith & Johnson (2018)
**摘要**: 利用CRISPR敲除技术和MRPL32抗体进行蛋白质组学分析,揭示其在核糖体组装中的关键作用及与线粒体翻译缺陷的关联。
3. **标题**: "Dysregulation of MRPL32 expression in metabolic syndrome: Insights from immunohistochemical analysis"
**作者**: Gupta et al. (2022)
**摘要**: 通过免疫组化(MRPL32抗体)发现其在代谢综合征患者组织中的异常表达,提示其可能参与能量代谢调控。
4. **标题**: "Antibody validation for mitochondrial proteins: A case study on MRPL32 in neurodegenerative models"
**作者**: Lee et al. (2019)
**摘要**: 文章详细验证了MRPL32抗体的特异性,并应用于阿尔茨海默病模型,证明其在线粒体功能障碍中的表达变化。
**提示**:建议通过PubMed或Google Scholar搜索“MRPL32 antibody”或“MRPL32 function”获取真实文献,并关注抗体应用(如WB、IF)及疾病机制研究。
The MRPL32 antibody is a valuable tool for investigating the mitochondrial ribosome and its associated functions. MRPL32 (Mitochondrial Ribosomal Protein L32) is a core component of the large subunit (39S) of the mitochondrial ribosome (mitoribosome), which plays a critical role in translating mitochondrial DNA-encoded mRNAs for oxidative phosphorylation (OXPHOS) complex subunits. Unlike cytosolic ribosomes, mitoribosomes have evolved unique structural and functional adaptations to synthesize hydrophobic membrane proteins essential for cellular energy production. MRPL32 is encoded by nuclear DNA, translated in the cytoplasm, and imported into mitochondria, where it assembles into the 39S subunit.
Antibodies targeting MRPL32 are widely used to study mitoribosome biogenesis, mitochondrial protein synthesis, and OXPHOS regulation. They are applied in techniques like Western blotting, immunofluorescence, and immunoprecipitation to assess MRPL32 expression, localization, and interactions. Dysregulation of MRPL32 has been linked to mitochondrial disorders, cancer progression, and metabolic diseases, as impaired mitoribosome function disrupts ATP production and promotes cellular stress. Researchers also utilize MRPL32 antibodies to explore tissue-specific mitochondrial adaptations or pathological mechanisms in neurodegenerative diseases. Commercial MRPL32 antibodies are typically raised in rabbits or mice, with validation in common models (e.g., human, mouse). However, cross-reactivity or batch variability may require optimization. Overall, MRPL32 antibodies provide critical insights into mitochondrial biology and its broader implications in health and disease.
×