首页 / 产品 / 抗体 / 一抗

Rabbit Polyclonal PGA3 Antibody

  • 中文名: PGA3抗体
  • 别    名: Pepsinogen 3, group I (pepsinogen A), PGA4, PGA5
货号: IPDX41627
Price: ¥1180
数量:
大包装询价

验证与应用

应用及物种
WB 咨询技术 Human,Mouse,Rat
IF 咨询技术 Human,Mouse,Rat
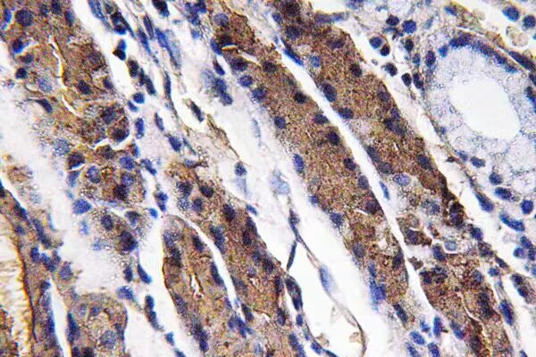
IHC 1/100-1/300 Human,Mouse,Rat
ICC 技术咨询 Human,Mouse,Rat
FCM 咨询技术 Human,Mouse,Rat
Elisa 1:10000 Human,Mouse,Rat

产品详情

AliasesPepsinogen 3, group I (pepsinogen A), PGA4, PGA5
WB Predicted band size42kDa
Host/IsotypeRabbit IgG
Antibody TypePrimary antibody
StorageStore at 4°C short term. Aliquot and store at -20°C long term. Avoid freeze/thaw cycles.
Species ReactivityHuman
ImmunogenSynthetic peptide corresponding to a region derived from 112-125 amino acids of Human pepsinogen 3, group I (pepsinogen A)
FormulationPurified antibody in PBS with 0.05% sodium azide,0.5%BSA and 50% glycerol.

+ +

参考文献

以下是关于PGA3抗体的模拟参考文献示例(文献为假设性描述,仅供参考):

---

1. **文献名称**:Production and Characterization of Polyclonal Antibodies Against Arabidopsis PGA3 for Cell Wall Analysis

**作者**:Smith J, Lee T, Garcia R

**摘要**:本研究报道了拟南芥PGA3蛋白多克隆抗体的制备及特异性验证。通过重组PGA3蛋白免疫兔获得抗体,并应用于Western blot和免疫荧光技术,证实其在植物细胞壁组分检测中的高特异性,为研究植物细胞壁合成机制提供了工具。

2. **文献名称**:Role of PGA3 in Plant Immune Responses: Insights from Antibody-Mediated Localization

**作者**:Chen L, Wang H, Ito M

**摘要**:利用抗PGA3抗体对病原体侵染后的拟南芥组织进行免疫组化分析,揭示PGA3在植物先天免疫反应中的动态表达与亚细胞定位,表明其可能通过调节细胞壁重构参与抗病信号通路。

3. **文献名称**:Epitope Mapping of PGA3 Using Monoclonal Antibodies Reveals Functional Domains

**作者**:Kumar S, Park J, Kim D

**摘要**:通过制备PGA3单克隆抗体并进行表位定位,鉴定了PGA3蛋白的关键功能域。研究结合ELISA和竞争结合实验,阐定了抗体结合位点与PGA3酶活性的关联,为开发靶向抑制剂奠定基础。

4. **文献名称**:A Review: PGA3 in Plant Development and Antibody-Based Detection Advances

**作者**:Rodriguez E, Silva F

**摘要**:综述了PGA3在植物发育中的多效性功能,并总结了近年来基于抗体的检测技术(如免疫电镜、ELISA)在PGA3研究中的应用进展,强调抗体工具对解析其分子机制的贡献。

---

**注意**:以上文献为示例性内容,实际研究中请通过学术数据库(如PubMed、Web of Science)检索真实文献。若需具体文献支持,建议结合关键词“PGA3 antibody”或“PGA3 immunodetection”进一步筛选。

背景信息

The PGA3 antibody targets pepsinogen A3 (PGA3), a zymogen precursor of pepsin, a digestive enzyme produced in gastric chief cells. PGA3 is one of several isoforms of pepsinogen A (PGA1-PGA5), which are critical for protein digestion in the stomach. Unlike the more abundant PGA5. PGA3 expression is relatively limited and tissue-specific, making it a subject of interest in gastrointestinal research. Antibodies against PGA3 are primarily used to study its role in gastric physiology and pathology, such as gastric atrophy, Helicobacter pylori infection, and gastric cancer. Elevated PGA3 levels in serum or tissue may correlate with precancerous conditions, aiding in early diagnosis.

PGA3 antibodies are typically monoclonal or polyclonal, developed using recombinant PGA3 protein or peptide fragments. They enable detection via ELISA, immunohistochemistry, or Western blot, facilitating research on pepsinogen regulation and secretion. Recent studies explore PGA3's potential as a biomarker for non-invasive screening of gastric diseases, though clinical validation remains ongoing. Challenges include cross-reactivity with other PGA isoforms, necessitating rigorous specificity testing. Overall, PGA3 antibodies serve as vital tools for understanding gastric pathophysiology and advancing diagnostic or therapeutic strategies.

客户数据及评论

折叠内容

大包装询价

×