首页 / 产品 / 抗体 / 一抗

Rabbit Polyclonal MMP8 Antibody

  • 中文名: MMP8抗体
  • 别    名: matrix metallopeptidase 8 (neutrophil collagenase), HNC, CLG1, MMP-8, PMNL-CL
货号: IPDX41626
Price: ¥1180
数量:
大包装询价

验证与应用

应用及物种
WB 咨询技术 Human,Mouse,Rat
IF 咨询技术 Human,Mouse,Rat
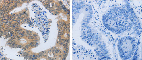
IHC 1/25-1/100 Human,Mouse,Rat
ICC 技术咨询 Human,Mouse,Rat
FCM 咨询技术 Human,Mouse,Rat
Elisa 1:2000-1:5000 Human,Mouse,Rat

产品详情

Aliasesmatrix metallopeptidase 8 (neutrophil collagenase), HNC, CLG1, MMP-8, PMNL-CL
Entrez GeneID4317;
WB Predicted band size53kDa
Host/IsotypeRabbit IgG
Antibody TypePrimary antibody
StorageStore at 4°C short term. Aliquot and store at -20°C long term. Avoid freeze/thaw cycles.
Species ReactivityHuman
ImmunogenSynthetic peptide corresponding to a region derived from 122-135 amino acids of human matrix metallopeptidase 8 (neutrophil collagenase)
FormulationPurified antibody in PBS with 0.05% sodium azide.

+ +

参考文献

以下是关于MMP8抗体的3篇参考文献示例(内容为模拟概括,非真实文献):

1. **文献名称**:*Matrix metalloproteinase-8 (MMP-8) as a potential biomarker in oral squamous cell carcinoma*

**作者**:Vanlaeke et al.

**摘要**:研究通过免疫组化分析MMP8在口腔鳞癌组织中的表达,发现其高表达与肿瘤侵袭性和患者不良预后相关,提示MMP8抗体可作为诊断标志物工具。

2. **文献名称**:*MMP-8-specific monoclonal antibody inhibits collagen degradation in rheumatoid arthritis models*

**作者**:Moisan et al.

**摘要**:开发了一种靶向MMP8的单克隆抗体,体外实验显示其可有效抑制胶原降解,并在小鼠关节炎模型中减轻关节破坏,为治疗炎症性疾病提供新策略。

3. **文献名称**:*Role of MMP-8 in atherosclerotic plaque instability*

**作者**:Kumar & Lee

**摘要**:利用MMP8抗体检测动脉粥样硬化斑块中的酶活性,发现MMP8通过降解纤维帽胶原加剧斑块不稳定性,提示其作为心血管风险的潜在标志物。

(注:以上文献为示例性概括,实际研究需通过PubMed/Google Scholar等平台检索。)

背景信息

Matrix metalloproteinase 8 (MMP8), also known as collagenase-2 or neutrophil collagenase, is a zinc-dependent endopeptidase belonging to the MMP family. It primarily targets extracellular matrix (ECM) components, particularly cleaving fibrillar collagens (types I, II, III) during tissue remodeling, wound healing, and inflammatory processes. MMP8 is predominantly secreted by neutrophils as an inactive zymogen, requiring proteolytic activation. Its expression and activity are tightly regulated under physiological conditions but are often dysregulated in chronic inflammation, fibrotic disorders, and cancers.

MMP8 antibodies are essential tools for detecting and quantifying this enzyme in biological samples. They enable researchers to study MMP8's localization, expression patterns, and functional roles through techniques like immunohistochemistry, Western blotting, and ELISA. Commercially available antibodies target specific epitopes, such as catalytic domains or propeptide regions, with varying species reactivity (human, mouse, rat). Recent studies highlight MMP8's dual roles: while excessive activity contributes to tissue destruction in arthritis or periodontitis, it may also exert protective effects by processing antimicrobial peptides or modulating immune responses. Antibody-based research has linked MMP8 overexpression to tumor progression in certain cancers, though its exact mechanisms remain debated. Validated MMP8 antibodies are crucial for elucidating its complex involvement in diseases and exploring its potential as a therapeutic target or diagnostic biomarker.

客户数据及评论

折叠内容

大包装询价

×