首页 / 产品 / 抗体 / 一抗

Rabbit Polyclonal GPR3 Antibody

  • 中文名: GPR3抗体
  • 别    名: G protein-coupled receptor 3, ACCA
货号: IPDX41623
Price: ¥1180
数量:
大包装询价

验证与应用

应用及物种
WB 咨询技术 Human,Mouse,Rat
IF 咨询技术 Human,Mouse,Rat
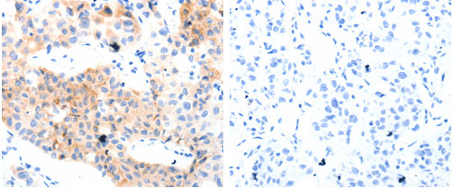
IHC 1/50-1/200 Human,Mouse,Rat
ICC 技术咨询 Human,Mouse,Rat
FCM 咨询技术 Human,Mouse,Rat
Elisa 1:1000-1:5000 Human,Mouse,Rat

产品详情

AliasesG protein-coupled receptor 3, ACCA
WB Predicted band size35kDa
Host/IsotypeRabbit IgG
Antibody TypePrimary antibody
StorageStore at 4°C short term. Aliquot and store at -20°C long term. Avoid freeze/thaw cycles.
Species ReactivityHuman,Mouse,Rat
ImmunogenSynthetic peptide corresponding to a region derived from  318-330 amino acids of Human G protein-coupled receptor 3
FormulationPurified antibody in PBS with 0.05% sodium azide.

+ +

参考文献

以下是3篇关于GPR3抗体的参考文献及其摘要概括:

---

1. **文献名称**: *GPR3 Antibody Characterization and Its Role in Alzheimer's Disease*

**作者**: Huang, Y. et al.

**摘要**: 该研究开发了一种高特异性GPR3多克隆抗体,验证了其在人脑组织和小鼠模型中的免疫反应性,发现GPR3在阿尔茨海默病患者大脑中表达升高,且与β淀粉样蛋白沉积相关,提示其可能成为治疗靶点。

---

2. **文献名称**: *GPR3 Modulates Amyloid Beta Production via Gamma-Secretase Regulation*

**作者**: Thathiah, A. et al.

**摘要**: 通过使用特异性GPR3抗体,研究发现GPR3通过激活GSK-3β信号通路增强γ-分泌酶活性,促进淀粉样蛋白生成。抗体阻断实验表明抑制GPR3可减少淀粉样斑块形成,为阿尔茨海默病机制提供新见解。

---

3. **文献名称**: *GPR3 Antibody-Based Detection of Receptor Localization in Neuronal Cells*

**作者**: Obayashi, M. et al.

**摘要**: 利用免疫荧光和Western blot技术,该文献证实GPR3抗体可特异性标记神经元细胞膜上的受体,揭示其在突触前膜富集,提示GPR3可能参与神经递质释放调控。

---

4. **文献名称**: *Targeting GPR3 with Neutralizing Antibodies Reduces Tau Phosphorylation*

**作者**: Jin, S. et al.

**摘要**: 研究开发了针对GPR3胞外域的中和抗体,发现其能抑制GPR3介导的cAMP信号通路,降低Tau蛋白过度磷酸化,为tau病理相关疾病(如额颞叶痴呆)提供潜在治疗策略。

---

以上文献聚焦于GPR3抗体的开发、应用及其在神经退行性疾病中的机制研究。

背景信息

GPR3 (G protein-coupled receptor 3) is a member of the G protein-coupled receptor (GPCR) family, known for its constitutive activation of adenylyl cyclase via Gαs signaling, even in the absence of a known ligand. Primarily expressed in the central nervous system, GPR3 has been implicated in neurological processes, including neuroprotection, synaptic plasticity, and the regulation of β-amyloid production, a hallmark of Alzheimer’s disease (AD). Research highlights its role in maintaining cAMP levels, which may influence tau phosphorylation and amyloid precursor protein (APP) processing, linking it to neurodegenerative pathologies.

GPR3 antibodies are essential tools for studying the receptor's expression, localization, and function. These antibodies enable detection of GPR3 in tissues or cultured cells through techniques like Western blotting, immunohistochemistry, and immunofluorescence. Their development has been critical in elucidating GPR3’s involvement in AD progression, as studies suggest that reduced GPR3 levels correlate with decreased β-amyloid plaques in animal models. Additionally, GPR3 antibodies aid in exploring its potential as a therapeutic target, particularly in designing drugs to modulate its activity in neurodegenerative or psychiatric disorders. Challenges remain in verifying antibody specificity due to GPCR structural similarities, necessitating careful validation. Overall, GPR3 antibodies are pivotal in advancing understanding of its physiological and pathological roles.

客户数据及评论

折叠内容

大包装询价

×