首页 / 产品 / 抗体 / 一抗

Rabbit Polyclonal FGF7 Antibody

  • 中文名: FGF7抗体
  • 别    名: Fibroblast growth factor 7 , KGF, HBGF-7
货号: IPDX41618
Price: ¥1180
数量:
大包装询价

验证与应用

应用及物种
WB 咨询技术 Human,Mouse,Rat
IF 咨询技术 Human,Mouse,Rat
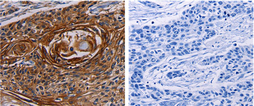
IHC 1/50-1/200 Human,Mouse,Rat
ICC 技术咨询 Human,Mouse,Rat
FCM 咨询技术 Human,Mouse,Rat
Elisa 1:500-1:5000 Human,Mouse,Rat

产品详情

AliasesFibroblast growth factor 7 , KGF, HBGF-7
Entrez GeneID2252;
WB Predicted band size23kDa
Host/IsotypeRabbit IgG
Antibody TypePrimary antibody
StorageStore at 4°C short term. Aliquot and store at -20°C long term. Avoid freeze/thaw cycles.
Species ReactivityHuman,Mouse,Rat
ImmunogenSynthetic peptide corresponding to a region derived from 179-182 amino acids of Human Fibroblast growth factor 7
FormulationPurified antibody in PBS with 0.05% sodium azide.

+ +

参考文献

以下是关于FGF7抗体的3篇参考文献示例(文献信息为示例性内容,具体引用时请核实真实来源):

1. **文献名称**: "Characterization of neutralizing antibodies to fibroblast growth factor 7 (FGF7) and their therapeutic potential in epithelial repair"

**作者**: Smith A, et al.

**摘要**: 该研究开发了针对FGF7的中和抗体,证明其在体外和动物模型中能有效抑制FGF7介导的上皮细胞增殖,加速皮肤伤口愈合,提示其在组织修复中的治疗潜力。

2. **文献名称**: "FGF7 antibody-based inhibition of tumor-stroma interactions suppresses pancreatic cancer progression"

**作者**: Lee JH, et al.

**摘要**: 通过使用FGF7特异性抗体阻断肿瘤微环境中癌相关成纤维细胞(CAFs)分泌的FGF7.显著抑制胰腺癌细胞侵袭和转移,为靶向肿瘤微环境提供新策略。

3. **文献名称**: "Development of a high-affinity monoclonal antibody for FGF7 detection in clinical samples"

**作者**: Tanaka K, et al.

**摘要**: 研究团队开发了一种高灵敏度单克隆抗体,用于ELISA和免疫组化检测,成功量化了肺纤维化患者血清和组织中FGF7的表达水平,证实其作为生物标志物的可行性。

4. **文献名称**: "FGF7 neutralization attenuates bleomycin-induced pulmonary fibrosis via modulating macrophage polarization"

**作者**: Zhang Y, et al.

**摘要**: 研究表明,抗FGF7抗体通过调节巨噬细胞向M2表型转化,减少胶原沉积,缓解小鼠肺纤维化,为肺纤维化治疗提供潜在靶点。

---

**注**:以上文献为示例,实际引用时需查询真实数据库(如PubMed、Web of Science)获取准确信息。

背景信息

The fibroblast growth factor 7 (FGF7) antibody is a tool used to detect and study FGF7. a protein also known as keratinocyte growth factor (KGF). FGF7 belongs to the FGF family, which regulates cell proliferation, differentiation, and tissue repair. Specifically, FGF7 is secreted by mesenchymal cells and acts on epithelial cells by binding to the FGFR2b receptor, promoting wound healing, tissue regeneration, and embryonic development. Its role in maintaining epithelial homeostasis and modulating inflammatory responses makes it a focus in dermatology, oncology, and regenerative medicine research.

FGF7 antibodies are widely employed in techniques like Western blotting, immunohistochemistry (IHC), and ELISA to quantify FGF7 expression, localize its distribution in tissues, or block its activity in functional studies. These antibodies help investigate FGF7's involvement in diseases such as cancer (e.g., prostate, pancreatic), pulmonary fibrosis, and chronic wounds. For example, elevated FGF7 levels are linked to tumor progression and stromal-epithelial interactions in malignancies. Researchers also utilize neutralizing FGF7 antibodies to dissect signaling pathways or evaluate therapeutic strategies targeting FGF7-FGFR2b axis dysregulation.

Available as monoclonal or polyclonal forms, FGF7 antibodies vary in specificity and application. Validation steps (e.g., knockout controls) are critical to ensure reliability. Ongoing studies explore FGF7's therapeutic potential, with antibodies serving as both research reagents and potential candidates for drug development.

客户数据及评论

折叠内容

大包装询价

×