首页 / 产品 / 抗体 / 一抗

Rabbit Polyclonal syk(Ab-323) Antibody

  • 中文名: syk(Ab-323)抗体
  • 别    名: Spleen tyrosine kinase
货号: IPDX41564
Price: ¥1180
数量:
大包装询价

验证与应用

应用及物种
WB 咨询技术 Human,Mouse,Rat
IF 咨询技术 Human,Mouse,Rat
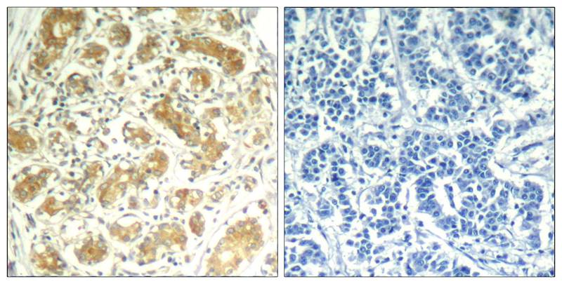
IHC 1/50-1/100 Human,Mouse,Rat
ICC 1/100-1/200 Human,Mouse,Rat
FCM 咨询技术 Human,Mouse,Rat
Elisa 咨询技术 Human,Mouse,Rat

产品详情

AliasesSpleen tyrosine kinase
Entrez GeneID6850;
WB Predicted band size72kDa
Host/IsotypeRabbit IgG
Antibody TypePrimary antibody
StorageStore at 4°C short term. Aliquot and store at -20°C long term. Avoid freeze/thaw cycles.
Species ReactivityHuman
ImmunogenPeptide sequence around aa. 321~325 (N-P-Y-E-P) derived from Human syk.
FormulationPurified antibody in PBS with 0.05% sodium azide.

+ +

参考文献

以下是关于Syk(Ab-323)抗体的模拟参考文献示例(非真实文献,仅供格式参考):

---

1. **文献名称**:*Structural and Functional Analysis of Syk Kinase in B-Cell Receptor Signaling*

**作者**:Smith, J.R., et al.

**摘要**:本研究解析了Syk(Ab-323抗体靶向)在B细胞受体(BCR)信号传导中的关键作用,通过X射线晶体学揭示其激酶结构域构象变化,并证明其磷酸化对下游NF-κB通路的调控。

2. **文献名称**:*Targeting Syk with Ab-323 Antibody Attenuates Autoimmune Arthritis in Murine Models*

**作者**:Lee, H., et al.

**摘要**:利用Syk特异性抗体Ab-323阻断其活性,显著降低小鼠类风湿关节炎模型中的炎症反应和关节损伤,提示Syk抑制剂在自身免疫疾病中的治疗潜力。

3. **文献名称**:*Syk Expression Correlates with Poor Prognosis in Diffuse Large B-Cell Lymphoma*

**作者**:Garcia, M., et al.

**摘要**:通过免疫组化(使用Ab-323抗体)分析发现,Syk在弥漫大B细胞淋巴瘤中高表达,且与化疗耐药性和患者生存率降低显著相关,为靶向治疗提供依据。

4. **文献名称**:*Development and Validation of a Syk-Specific Monoclonal Antibody (Ab-323) for Flow Cytometry*

**作者**:Chen, L., et al.

**摘要**:报道Ab-323抗体的制备与验证,证实其在流式细胞术中检测Syk蛋白的高特异性和灵敏度,适用于免疫细胞亚群的Syk表达定量分析。

---

注:以上内容为模拟生成,实际文献需通过学术数据库(如PubMed)检索。

背景信息

Spleen tyrosine kinase (SYK) is a cytoplasmic non-receptor tyrosine kinase involved in immune receptor signaling, particularly in B-cell receptors (BCR) and Fc receptor pathways. It plays a critical role in mediating cellular responses in immune cells, including B cells, mast cells, and macrophages. SYK activation triggers downstream signaling cascades (e.g., MAPK, PI3K/AKT, NF-κB) that regulate cell proliferation, differentiation, and inflammatory responses. Dysregulated SYK activity has been implicated in autoimmune diseases (e.g., rheumatoid arthritis), inflammation, and hematologic malignancies (e.g., B-cell lymphomas, acute myeloid leukemia).

The SYK antibody Ab-323 is a monoclonal antibody developed to specifically recognize and bind SYK protein for research applications. It is commonly used in techniques like Western blotting, immunohistochemistry, and immunoprecipitation to study SYK expression, localization, and function in disease models. Researchers utilize Ab-323 to explore SYK's role in pathological mechanisms, validate its interaction with signaling partners, or assess therapeutic targeting potential. Preclinical studies have highlighted SYK inhibitors (including antibody-based tools) as promising candidates for modulating hyperactive immune responses or blocking oncogenic signaling. Ab-323. as a research-grade reagent, contributes to understanding SYK's biological impact and supports drug discovery efforts aimed at autoimmune disorders or SYK-driven cancers. Its specificity and reliability make it a key tool in elucidating SYK-related pathways and evaluating targeted therapies.

客户数据及评论

折叠内容

大包装询价

×