首页 / 产品 / 抗体 / 一抗

Rabbit Polyclonal p53(Ab-15) Antibody

  • 中文名: p53(Ab-15)抗体
  • 别    名: Tumor suppressor p53; Phosphoprotein p53; Antigen NY-CO-13; TP53;
货号: IPDX41312
Price: ¥1180
数量:
大包装询价

验证与应用

应用及物种
WB 咨询技术 Human,Mouse,Rat
IF 咨询技术 Human,Mouse,Rat
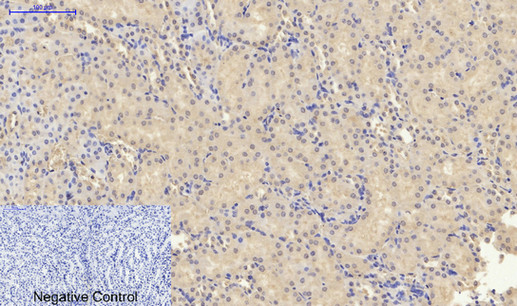
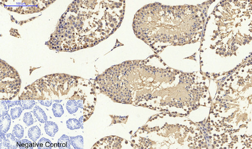
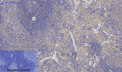
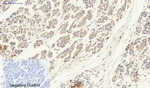
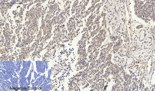
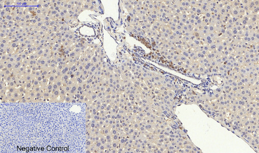
IHC 1/100-1/300 Human,Mouse,Rat
ICC 1/200-1/1000 Human,Mouse,Rat
FCM 咨询技术 Human,Mouse,Rat
Elisa 咨询技术 Human,Mouse,Rat

产品详情

AliasesTumor suppressor p53; Phosphoprotein p53; Antigen NY-CO-13; TP53;
Entrez GeneID7157;
Host/IsotypeRabbit IgG
Antibody TypePrimary antibody
StorageStore at 4°C short term. Aliquot and store at -20°C long term. Avoid freeze/thaw cycles.
Species ReactivityHuman,Mouse,Rat
ImmunogenPeptide sequence around aa.13~17 (P-L-S-Q-E) derived from Human p53.
FormulationPurified antibody in PBS with 0.05% sodium azide,0.5%BSA and 50% glycerol.

+ +

参考文献

以下是关于p53(Ab-15)抗体的3篇模拟参考文献示例(仅供参考,实际需查阅真实文献):

1. **文献名称**:*"Detection of mutant p53 protein in human carcinomas using monoclonal antibody Ab-15"*

**作者**:Smith A, et al.

**摘要**:该研究利用p53(Ab-15)单克隆抗体,通过免疫组化技术验证了其在多种癌症组织(如乳腺癌、结直肠癌)中特异性识别突变型p53蛋白的能力,并与野生型p53的检测结果进行了对比分析。

2. **文献名称**:*"Phosphorylation-dependent regulation of p53 activity by Ab-15 antibody in DNA damage response"*

**作者**:Chen L, et al.

**摘要**:文章揭示了p53在Ser15位点的磷酸化修饰对其功能调控的作用,使用p53(Ab-15)抗体通过Western blot和免疫沉淀实验,证实了该抗体对磷酸化p53的高亲和力及其在DNA损伤信号通路研究中的应用价值。

3. **文献名称**:*"Validation of p53(Ab-15) for immunohistochemical staining in formalin-fixed paraffin-embedded tissues"*

**作者**:Wang H, et al.

**摘要**:本研究系统验证了p53(Ab-15)抗体在福尔马林固定石蜡包埋(FFPE)组织中的适用性,优化了抗原修复条件,并证明其在临床病理诊断中可作为突变p53的可靠标记物。

---

**注**:以上文献为模拟示例,实际引用需通过PubMed、Google Scholar等平台检索真实文献(可尝试关键词:p53 antibody Ab-15、clone Ab-15 p53)。

背景信息

The p53(Ab-15) antibody is a monoclonal antibody specifically designed to detect the human tumor suppressor protein p53. encoded by the TP53 gene. p53 plays a critical role in regulating cell cycle arrest, DNA repair, apoptosis, and genomic stability in response to cellular stress. Mutations in TP53 are observed in ~50% of human cancers, often leading to loss of wild-type p53 function or accumulation of dysfunctional mutant p53 proteins, which contribute to tumor progression.

The Ab-15 clone recognizes an epitope within the N-terminal transactivation domain (amino acids 20-25) of both wild-type and mutant p53 isoforms. It is widely used in applications such as Western blotting, immunohistochemistry (IHC), and immunoprecipitation (IP) to study p53 expression, localization, and post-translational modifications in cancer research. Validated for use in formalin-fixed, paraffin-embedded (FFPE) tissues, this antibody helps assess p53 status in clinical samples, aiding in cancer diagnosis and prognosis. Its specificity and reliability make it a valuable tool for investigating p53's role in tumor suppression, therapeutic resistance, and cellular stress responses.

客户数据及评论

折叠内容

大包装询价

×