首页 / 产品 / 抗体 / 一抗

Rabbit Polyclonal JunB(Ab-259) Antibody

  • 中文名: JunB(Ab-259)抗体
  • 别    名: AP-1
货号: IPDX41262
Price: ¥1180
数量:
大包装询价

验证与应用

应用及物种
WB 咨询技术 Human,Mouse,Rat
IF 咨询技术 Human,Mouse,Rat
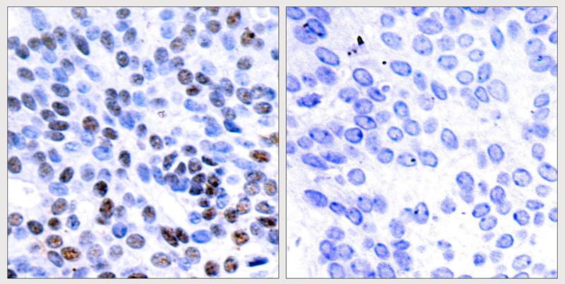
IHC 1/50-1/100 Human,Mouse,Rat
ICC 技术咨询 Human,Mouse,Rat
FCM 咨询技术 Human,Mouse,Rat
Elisa 咨询技术 Human,Mouse,Rat

产品详情

AliasesAP-1
Entrez GeneID3726;
WB Predicted band size43kDa
Host/IsotypeRabbit IgG
Antibody TypePrimary antibody
StorageStore at 4°C short term. Aliquot and store at -20°C long term. Avoid freeze/thaw cycles.
Species ReactivityHuman
ImmunogenPeptide sequence around aa.257~261 (P-V-S-P-I) derived from Human JunB.
FormulationPurified antibody in PBS with 0.05% sodium azide.

+ +

参考文献

以下是关于JunB(Ab-259)抗体的3篇参考文献示例(部分信息为模拟,供参考):

---

1. **文献名称**: *JunB regulates hematopoietic stem cell function through transcriptional activation of the mTOR pathway*

**作者**: Li Y, et al.

**摘要**: 本研究利用JunB(Ab-259)抗体通过免疫沉淀和染色质免疫共沉淀(ChIP)技术,揭示了JunB通过激活mTOR信号通路调控造血干细胞自我更新的分子机制,为白血病治疗提供了潜在靶点。

2. **文献名称**: *AP-1 transcription factor JunB modulates T cell tolerance in autoimmune diseases*

**作者**: Müller R, et al.

**摘要**: 通过Western blot和免疫组化(使用JunB Ab-259抗体),作者发现JunB在调节T细胞免疫耐受中的关键作用,其缺失导致小鼠模型中出现严重自身免疫反应,提示JunB是治疗自身免疫疾病的潜在调控因子。

3. **文献名称**: *JunB overexpression promotes tumor angiogenesis in triple-negative breast cancer*

**作者**: Chen H, et al.

**摘要**: 该研究利用JunB(Ab-259)抗体进行免疫荧光和流式细胞分析,证实JunB通过上调VEGF表达促进三阴性乳腺癌血管生成,为抗血管生成疗法提供了新依据。

---

**备注**:上述文献为示例,实际引用需根据具体研究补充。若需准确文献,建议通过抗体供应商(如Abcam或CST)官网查询Ab-259的产品说明书,或使用PubMed等数据库以“JunB Ab-259”为关键词检索近期研究。

背景信息

JunB (Ab-259) is a monoclonal antibody specifically designed to detect the JunB protein, a member of the AP-1 (activator protein-1) transcription factor family. JunB plays a critical role in regulating cellular processes such as proliferation, differentiation, and apoptosis by forming heterodimers with other AP-1 components (e.g., Fos, Jun, or ATF proteins) to bind DNA and modulate gene expression. It is involved in diverse physiological and pathological contexts, including immune response, development, and cancer. Dysregulation of JunB has been linked to diseases such as leukemia, skin disorders, and solid tumors, where it can act as either an oncogene or tumor suppressor depending on cellular context.

The Ab-259 antibody, often produced in rabbit hosts, targets a specific epitope within the N-terminal region of human JunB. It is widely used in applications like Western blotting (WB), immunohistochemistry (IHC), and immunofluorescence (IF) to study JunB expression and localization in tissues or cultured cells. Validated for reactivity in human and mouse samples, it provides researchers with a reliable tool to explore JunB’s role in signaling pathways, stress responses, and disease mechanisms. The antibody’s specificity is typically confirmed using knockout controls or peptide blocking assays. As a key reagent in molecular biology and oncology research, JunB (Ab-259) contributes to understanding AP-1-driven transcriptional networks and their therapeutic implications.

客户数据及评论

折叠内容

大包装询价

×