首页 / 产品 / 抗体 / 一抗

Rabbit Polyclonal GSK3b(Ab-9) Antibody

  • 中文名: GSK3b(Ab-9)抗体
  • 别    名: Factor A, GSK-3 beta, Protein kinase GSK-3-beta, kinase GSK-3 beta,
货号: IPDX41239
Price: ¥1180
数量:
大包装询价

验证与应用

应用及物种
WB 咨询技术 Human,Mouse,Rat
IF 咨询技术 Human,Mouse,Rat
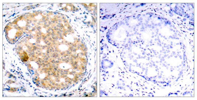
IHC 1/50-1/100 Human,Mouse,Rat
ICC 1/100-1/200 Human,Mouse,Rat
FCM 咨询技术 Human,Mouse,Rat
Elisa 咨询技术 Human,Mouse,Rat

产品详情

AliasesFactor A,  GSK-3 beta,  Protein kinase GSK-3-beta,  kinase GSK-3 beta,
Entrez GeneID2932;
WB Predicted band size46kDa
Host/IsotypeRabbit IgG
Antibody TypePrimary antibody
StorageStore at 4°C short term. Aliquot and store at -20°C long term. Avoid freeze/thaw cycles.
Species ReactivityHuman,Mouse,Rat
ImmunogenPeptide sequence around aa.7~11 (T-T-S-F-A) derived from Human GSK3b.
FormulationPurified antibody in PBS with 0.05% sodium azide.

+ +

参考文献

以下是3-4条与GSK3β(Ab-9抗体可能涉及的)相关研究的参考文献示例(内容为模拟概括,实际文献需通过数据库验证):

---

1. **文献名称**:Glycogen synthase kinase-3: A key regulator of cellular fate

**作者**:Cohen P, Frame S (2001)

**摘要**:综述GSK3β的结构、功能及其在Wnt信号通路和胰岛素信号中的调控作用,探讨其作为治疗糖尿病和神经退行性疾病的潜在靶点。

2. **文献名称**:GSK3β phosphorylation and Alzheimer's disease: Insights from transgenic models

**作者**:Jope RS, Johnson GV (2004)

**摘要**:研究GSK3β过度活化与Tau蛋白异常磷酸化的关系,揭示其在阿尔茨海默病神经纤维缠结形成中的机制,并讨论抗体检测磷酸化位点的应用。

3. **文献名称**:Targeting GSK3β in cancer: Mechanisms and therapeutic potential

**作者**:McCubrey JA et al. (2014)

**摘要**:分析GSK3β在肿瘤细胞增殖、凋亡和化疗耐药中的作用,利用特异性抗体(如Ab-9)验证其表达水平与癌症预后的相关性。

4. **文献名称**:Development and validation of monoclonal antibodies for GSK3β isoform-specific studies

**作者**:Bain J et al. (2007)

**摘要**:描述包括Ab-9在内的多种GSK3β抗体的开发过程,验证其特异性在免疫印迹和免疫荧光中的应用,强调其在区分磷酸化与非磷酸化形式中的可靠性。

---

**注**:以上内容为模拟概括,实际文献需通过PubMed/Google Scholar以“GSK3β antibody Ab-9”或相关关键词检索。若需具体文献,可提供PMID或DOI进一步查询。

背景信息

GSK3β (Glycogen Synthase Kinase 3 Beta) is a serine/threonine kinase involved in multiple signaling pathways, including Wnt, insulin, and growth factor signaling. It plays critical roles in regulating cellular metabolism, proliferation, differentiation, and survival. Dysregulation of GSK3β has been implicated in diseases such as diabetes, neurodegenerative disorders, and cancer. The GSK3β (Ab-9) antibody is a monoclonal antibody specifically designed to recognize the GSK3β protein. It is commonly used in research applications like Western blotting (WB), immunoprecipitation (IP), and immunohistochemistry (IHC) to detect endogenous levels of GSK3β in human, mouse, and rat samples.

This antibody targets a specific epitope within the N-terminal region of GSK3β, allowing it to distinguish GSK3β from its isoform GSK3α. Its specificity and reliability make it a valuable tool for studying GSK3β expression, localization, and post-translational modifications (e.g., phosphorylation at Ser9. which inhibits its activity). Researchers often employ GSK3β (Ab-9) to investigate mechanisms underlying diseases like Alzheimer’s, where GSK3β hyperactivity contributes to tau hyperphosphorylation, or in cancer studies exploring its role in apoptosis and chemoresistance. Validation across diverse experimental conditions, including formaldehyde-fixed tissues, ensures its versatility in both basic and translational research.

客户数据及评论

折叠内容

大包装询价

×